ジルコニアで後悔? ジルコニアで良かった 鶴見駅の歯医者|北村歯科
【2025年11月12日更新】
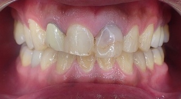
かなりの頻度で遭遇する スクリューピン 歯が痛いときに最悪 鶴見駅の歯医者|北村歯科
【2025年11月5日更新】
仮歯で虫歯 仮歯で歯周病 仮歯で痛い 仮歯で根管治療に 鶴見駅の歯医者|北村歯科
【2025年11月1日更新】
歯列矯正後 リテーナー(維持装置)を使いながら修復を考える 鶴見駅の歯医者|北村歯科
【2025年10月20日更新】
転院 これは地獄?拷問??? 転院される人の状況がひどすぎる 鶴見駅の歯医者|北村歯科
【2025年10月20日更新】
ジルコニアボンド 外れた 形態修正して美的にするには 鶴見駅の歯医者|北村歯科
【2025年10月15日更新】
歯の神経を残す大切さ 北村歯科が考える神経を残す選択 鶴見駅の歯医者
【2025年10月10日更新】
歯が痛い 歯の神経は生態反応で変性する 二次象牙質と象牙真珠 鶴見駅の歯医者|北村歯科
【2025年10月1日更新】
転院専門の歯科医院になったのか? 転院前の状況が想像しやすい事例 鶴見駅の歯医者|北村歯科
【2025年9月19日更新】
転院専門の歯科医院になったのか? 最近は転院ばかりで、状態を把握するのが難題 鶴見駅の歯医者|北村歯科
【2025年9月19日更新】
転院 1本の費用で5本のジルコニアが制作できると来院 鶴見駅の歯医者|北村歯科
【2025年9月12日更新】
メタルボンドからジルコニアボンドに 金属が溶出して歯肉に 鶴見駅の歯医者|北村歯科
【2025年9月2日更新】
転院 他院でジルコニアを作ったが痛くなった。治療した歯科医師はいい人
【2025年8月27日更新】
歯ぎしり対策 20代でも歯ぎしりが重度の場合 ものわかりのいいひと 鶴見駅の歯医者|北村歯科
【2025年8月26日更新】
転院 定番の仮歯のまま来院 歯茎の位置がずれている例 鶴見駅の歯医者|北村歯科
【2025年8月20日更新】
25夏 前歯を交換して別人になる 怖い 怖いと思うなら、やめたほうがいい 鶴見駅の歯医者|北村歯科
【2025年8月1日更新】
変形歯をジルコニアに変えて、先天着色をホワイトニング 続き その2 鶴見駅の歯医者|北村歯科
【2025年8月1日更新】
転院 最近の転院患者さんは理解不能な処置をされている 鶴見駅の歯医者|北村歯科
【2025年7月29日更新】
根管治療のお話。転院 ネットを鵜呑みにしない マイクロスコープなど 鶴見駅の歯医者|北村歯科
【2025年7月25日更新】
25夏 壊れたメタルボンドより、すり減った前歯 本人は他人目線に気が付かない 鶴見駅の歯医者|北村歯科
【2025年7月18日更新】
続き 前歯修復の放置 奥歯を修復してから前歯が大原則 鶴見駅の歯医者|北村歯科
【2025年7月18日更新】
25夏 歯ぎしりにより壊れたブリッジを修復 前歯の崩壊や摩耗を防ぐ対策する 鶴見駅の歯医者|北村歯科
【2025年7月15日更新】
25夏転院 多くの事例が高額治療を勧められて・・・どう見てもキレイではない! 鶴見駅の歯医者|北村歯科
【2025年6月26日更新】
魚を釣り上げるにはエサが必要 無料カウンセリング 無料相談に行った人は…鶴見駅の歯医者|北村歯科
【2025年6月12日更新】
25夏 少数歯前歯は 若干の違和感があるが・・・ 鶴見駅の歯医者|北村歯科
【2025年6月9日更新】
25夏 定期整備の重要性 シンデレラ第一号参上! 長期に状態を維持する 鶴見駅の歯医者|北村歯科
【2025年5月22日更新】
25夏別人になる 銀歯を白い歯に ご依頼以上の仕事をする 25夏の別人シリーズ 鶴見駅の歯医者|北村歯科
【2025年5月16日更新】
転院 一時にこだわわり、生涯のかみ合わせ失う 人生最後のチャンスを考える 鶴見駅の歯医者|北村歯科「
【2025年5月9日更新】
25夏シリーズ 最近多い やろうか?やらないか?でもやる!決まらない人 鶴見駅の歯医者
【2025年5月5日更新】
普通の奥歯3本ブリッジが70万円以上の見積もり 続編 前歯もジルコニア希望 鶴見駅の歯医者|北村歯科
【2025年5月2日更新】
普通の奥歯3本ブリッジが70万円以上の見積もりで転院 鶴見駅の歯医者|北村歯科
【2025年4月4日更新】
cad/cam冠が破損して割れた と来院事例を掘り下げる 鶴見駅の歯医者|北村歯科
【2025年3月27日更新】
事の重大性が理解できない人が多い、侵襲性歯周病について 治療はしぶとく 鶴見駅の歯医者|北村歯科
【2025年3月18日更新】
ちょっとしたことで前歯にレジン充填すると、後に前歯が壊れる 鶴見駅の歯医者|北村歯科
【2025年2月25日更新】
年末ダッシュの続き 3本だけ色が違うのでそろえたい 鶴見駅の歯医者|北村歯科
【2025年2月21日更新】
この状態でもジルコニアブリッジを作れます。・・選択肢はご本人が決める 鶴見駅の歯医者|北村歯科
【2025年2月17日更新】
仮着もダメですよ ブリッジ仮着でダメにした人 仮着は一時的なもの 鶴見駅の歯医者|北村歯科
【2025年2月17日更新】
先天着色歯をキレイにしたい。テトラサイクリン着色の前歯の対応 鶴見駅の歯医者|北村歯科
【2025年2月14日更新】
転院 最近の転院患者さんはかなり悲惨な状況になってきた 続き 鶴見駅の歯医者|北村歯科
【2025年2月12日更新】
転院 最近の転院患者さんの状態はかなり悲惨な状況になってきた 鶴見駅の歯医者|北村歯科
【2025年2月10日更新】
重度歯ぎしり インレーブリッジは歯をダメにする可能性 歯ぎしり対策 ものわかりのいいひと 鶴見駅の歯医者|北村歯科
【2025年1月30日更新】
重度歯周病と重度歯ぎしり 歯根割れで3通りの究極の選択肢 人生最後のチャンス 鶴見駅の歯医者|北村歯科
【2025年1月23日更新】
いつもの記事と真逆の内容 ああだ!こうだ!仮歯が・・当方では対応できない 鶴見駅の歯医者|北村歯科
【2025年1月23日更新】
年末ダッシュ 続き ものわかりのいいひと 速攻でジルコニアブリッジ制作 鶴見駅の歯医者|北村歯科
【2025年1月20日更新】
仮歯放置が一番多い転院理由 歯科医が勧めたことは慎重に考える 鶴見駅の歯医者|北村歯科
【2025年1月18日更新】
転院 定期的に歯医者にいくが、いきなり抜かれた 歯科医の提案は要注意 鶴見駅の歯医者|
【2025年1月17日更新】
患者さんの言うがままに治療をすると 人間ではなくなるかも? 鶴見駅の歯医者|北村歯科
【2025年1月9日更新】
今年最後の初診 顎の骨を切断手術の準備矯正中 骨切していいのか? 鶴見駅の歯医者|北村歯科
【2024年12月29日更新】
年末ダッシュ 下顎の飛び出した歯が 上顎の前歯を押し出した 鶴見駅の歯医者|北村歯科
【2024年12月26日更新】
年末ダッシュ メタルボンドの負担過重で激しい炎症 歯ぎしり 鶴見駅の歯医者|北村歯科
【2024年12月26日更新】
年末ダッシュ どうにもならないこと。虫歯は想像以上に進行している 鶴見駅の歯医者|北村歯科
【2024年12月24日更新】
年末ダッシュ ものわかりのいい人 2人目 鶴見駅の歯医者|北村歯科
【2024年12月23日更新】
年末ダッシュ ジルコニアブリッジが痛むと来院。他も痛むと 鶴見駅の歯医者|北村歯科
【2024年12月23日更新】
年末ダッシュ 健康保険の歯が破折 2本か3本か4本かの選択を考える 鶴見駅の歯医者|北村歯科
【2024年12月23日更新】
年末ダッシュ 人生最後のチャンスなので重度歯周病だがブリッジで修復 鶴見駅の歯医者|北村歯科
【2024年12月20日更新】
年末ダッシュ 人生最後のチャンス 入れ歯でないブリッジでの奥歯 鶴見駅の歯医者|北村歯科
【2024年12月20日更新】
年末ダッシュ 転院 インプラント治療中 上顎半分が仮歯 鶴見駅の歯医者|北村歯科
【2024年12月16日更新】
年末ダッシュ 銀歯を白い歯に 欠損した前歯を作るために奥歯から製作 鶴見駅の歯医者|北村歯科|北村歯科
【2024年12月16日更新】
転院 ジルコニアブリッジが痛む 根管治療するには除去必須 鶴見駅の歯医者|北村歯科
【2024年12月2日更新】
転ばぬ先の杖 歯ぎしりで歯の崩壊を防ぐ対策のため 銀歯を白い歯に 鶴見駅の歯医者|北村歯科
【2024年11月28日更新】
転院 仮歯は危険 激しい炎症 鶴見駅の歯医者|北村歯科
【2024年11月21日更新】
転院 ブリッジ破折 上顎洞炎 歯科医院を転々 鶴見駅の歯医者|北村歯科
【2024年11月21日更新】
転院 歯医者を転々として、最後に心の病と決めつけられた 鶴見駅の歯医者|北村歯科
【2024年11月15日更新】
転院 レジン充填だけやっている(しかできない?)歯科医院から +酸蝕症
【2024年11月14日更新】
転院 当局に踏み込まれた歯科医院?? 万病が治ると宣伝して集客
【2024年11月11日更新】
キレイになりたい 美的歯科 別人になる 2024-22 鶴見駅の歯医者|北村歯科
【2024年11月8日更新】
治療費はいくらか? 健康保険の負担分と自由診療のかぶせものの合計が治療費
【2024年10月29日更新】
歯根の亀裂 歯根が割れた ダメでもともとを理解するなら可能な処置
【2024年10月28日更新】
前歯に少数歯ジルコニアクラウンは違和感 レジン充填劣化
【2024年10月25日更新】
ジルコニアインレーは推奨できません。適合が悪く虫歯になりやすい
【2024年10月25日更新】
CAD/CAM冠が割れた。e.maxで修復 キャドカム冠 イーマックス セラミックインレー 鶴見駅の歯医者|北村歯科
【2024年10月25日更新】
アフタ性口内炎 炭酸ガスレーザー治療
【2024年10月18日更新】
歯がいたくて来院 前歯もキレイにしたいとご希望 乳歯晩期残存 矮小歯 2024-21
【2024年10月16日更新】
転院 これはクレージー 歯医者に行ったが違う部位の処置をされて ガリガリに削られた
【2024年10月14日更新】
メタルボンドクラウン ブリッジをジルコニアブリッジ クラウンに交換 2024-21
【2024年10月10日更新】
インレーブリッジの脱離で来院 インレーブリッジはやらないほうが無難 虫歯の原因
【2024年10月2日更新】
他院で歯を抜いて●●●万円必要と言われて泣きこまれる 日常茶飯事の出来事です。
【2024年10月1日更新】
歯の亀裂 歯根の亀裂は予後が悪いので自由診療はやらないほうが無難 鶴見駅の歯医者|北村歯科
【2024年9月19日更新】
他院でジルコニアを入れたが、痛くなったと来院 多い事例 鶴見駅の歯医者|北村歯科
【2024年9月18日更新】
この夏の忙しさは異常 猛暑とゲリラ豪雨だが多忙 普通に戻りつつある 制作中
【2024年9月3日更新】
ジルコニアを入れた歯を、同じ歯科医院で抜去するといわれて・・・来院 鶴見駅の歯医者|北村歯科
【2024年8月26日更新】
ジルコニアを入れて食べれなくなったと来院 人前で思い切り笑いたい 審美的に 2024-19 鶴見駅の歯医者|北村歯科
【2024年8月25日更新】
保険の前歯ブリッジを交換して別人になりたい 美的に 審美的な観点から 2024-18 鶴見駅の歯医者|北村歯科
【2024年8月23日更新】
普通の人の三次元脳 歯のデザインから考える脳の使い方 ご参考に 鶴見駅の歯医者|北村歯科
【2024年8月23日更新】
ご本人の立場になって考える 美的に!美的に! 2024-17
【2024年8月23日更新】
歯周病でグラグラの歯を固定していたが ジルコニアで固定して延命 鶴見駅の歯医者|北村歯科
【2024年8月6日更新】
他の医院で虫歯多数で治療の必要あり12本といわれたが? 鶴見駅の歯医者|北村歯科
【2024年7月31日更新】
前歯1本がだめになった 別人になる決心 5人目 制作開始 16 鶴見駅の歯医者|北村歯科
【2024年7月29日更新】
鼻の下が痛い 歯前歯の根尖病巣 虫歯が根の先端まで貫通 鶴見駅の歯医者|北村歯科
【2024年7月26日更新】
前歯1本がだめになった 別人になる決心 4人目 制作開始 15 鶴見駅の歯医者|北村歯科
【2024年7月25日更新】
前歯1本がだめになった 別人になる決心 3人目 制作開始 14 鶴見駅の歯医者|北村歯科
【2024年7月23日更新】
前歯1本がだめになった 別人になる決心 2人目 制作開始 13 鶴見駅の歯医者|北村歯科
【2024年7月23日更新】
前歯1本がだめになった 別人になる決心 1人目 制作開始 12 鶴見駅の歯医者|北村歯科
【2024年7月23日更新】
前歯のデザインは自由度が必要 3本か4本かの選択 美的審美歯科2024-11 鶴見駅の歯医者|北村歯科
【2024年7月22日更新】
人前で笑ってみたい 前歯を変えて別人になる美的審美歯科 2024-10 鶴見駅の歯医者|北村歯科
【2024年7月18日更新】





