【2025年5月5日 11:24 PM更新】
概要
25夏 歯を直して別人に生まれ変わるシリーズ
いろいろな事例の患者さんが転院して来院します。
1.仮歯の放置の人
2.歯科医院を転々をしてくる人
3.他院で修復物を作ったが、違和感や苦痛がある人
4.とんどもない形態の人
などが主なものですが、
その中でも特に困るのが
1.治療方針の決まらない人
2.ある程度治療を進めても、「やっぱやめた!」
と気変わりする人
3.優柔不断でああしようこうしようと
コロコロと気変わりにする人
当方では、治療に関してプッシュすることはほとんどありません。
自由意志が一番大切だを考えるからです。
いろいろな事案や方針、リスクなどをご説明しても
しかし話がころころと変わったり、
山手線のように同じ話が「ぐるぐる」している人は、
ご自分で決めてください!と願いして
後日にアポイントを取り考えて頂くことにしています。
あまりにも話が決まらい場合には
意思疎通が困難として
当方の実力では治療不可能と判断することがあります。
歯科治療もスーパーやコンビニと同じく
買い物かごに商品を入れてレジに行くことで
購入意思の決定となり支払後 お取引成立となります。
意思か決まらなければ、お取引は成立しませんので
何もできません。
横浜市鶴見区 北村歯科が解説
前歯をキレイにしたい、2本にしようか3本にしよいうか それとも4本?? 美的にするには?
このようなことはご本の価値観で決めると良いと思います。当方ではプッシュしません
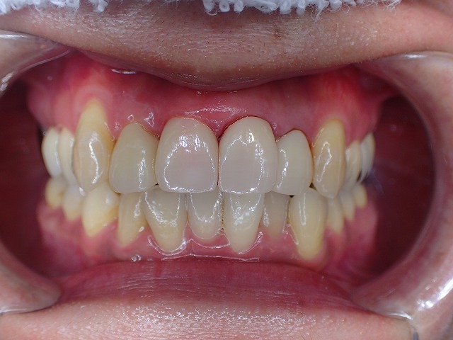
この状態でキレイになりたい!とご相談された場合に、
もっとも効率よくキレイ効果の出るように考えます。
両側の犬歯がほぼ対称になっていますが、
下の歯は配列が乱れています。
しかし、上の歯をキレイに配列できるので
下の乱れた配列は、まったく気にならないほどに
修復可能と判断しました。

当方からのアドバイスは
ご本人はこの2本をキレイにしたいとのことでしたが

もしも2本だけでやるならば、この2本をやったほいうがキレイになるよ!7
片側だけキレイにしても変な違和感が出るのでこっちのほうがいいよ

もしも予算的な余裕があるならば
この4本をやれば、歯並びもキレイになるし
一番重要なことは、デザインの幅が広がり
より美的になるデザインが可能となるので
別人のように美的なることが期待できます。

ご本人はどうしようか?と治療台で考えて迷ているので
ここで焦ると間違いを起こす可能性があるので
当方では「プッシュしない大原則」があるので
今日はこれで終わりにして、考えてみてください。
ということで終了。
翌日再来院 4本にします とご決断なさいました。
下の歯はこれだけ乱れた歯並びですが
上の前歯を4本修復物にするならば、
他人目線からまったく気にならないほどに
補正可能です。

ジルコニアセラミック4本完成
4本にすれば並べ直しが可能なので
正面からはかなり美的な状態にすることが
できるようになります。

想定したとおり、かなり美的な前歯に仕上がりました。
お口の中で試適合
歯肉は若干の整形をしてあるので
まだ赤いのですが、キレイになりました。
ご本人は夢のようだと大変お喜びになりました.
色に関してもかなりご満足。
ここまでキレイに 美的になるとは思わなかったそうです。

セラミッククラウン装着10日後
次回調整でお約束をしました。続く・・・・
10日後 歯肉とジルコニアがなじんできました。

この患者さんの場合には初期段階であれやこれやと悩んで
方針を決めかねていましたが、当方のアドバイス通りに
設計デザインに自由度がある4本制作に決定後
「色調」「形態」など、一切お任せいただいたので
きわめて良好な仕上がりになりました。
当方で言うところの「いい人」とは
「ああだ! こうだ!とは言わない人です。
ご本人は、ジルコニアの前歯が完成後
想像以上だと大変お喜びになりました。
初診時のお願いに記載している通り
患者さんの言われるままに治療をすると
人間ではなくなるのでアドバイスを聞き入れてください。
この症例では自由診負担は
●前歯4本をジルコニアクラウンのみ
のご負担です。
自由診療費用 税別
●ジルコニアクラウン前歯 38,000投稿を表示円x本数
●ジルコニアクラウン奥歯 32,000円×本数
その他 この2項目だけ必要なことがあります。
●自由診療除去費用 5,000円×本数
●ファイバーコア 10,000円×本数
ジルコニア治療を検討中の方へ|鶴見・北村歯科の総まとめガイド
前歯をキレイにしたい・歯並びを整えたい方へ|できること・できないこと総まとめ
前へ:« 普通の奥歯3本ブリッジが70万円以上の見積もり 続編 前歯もジルコニア希望 鶴見駅の歯医者|北村歯科
次へ:転院 一時にこだわわり、生涯のかみ合わせ失う 人生最後のチャンスを考える 鶴見駅の歯医者|北村歯科「 »





