【2025年12月10日 12:43 PM更新】
概要
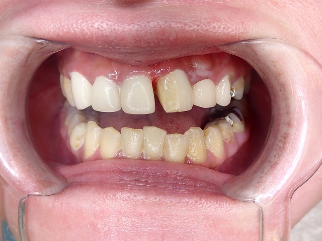
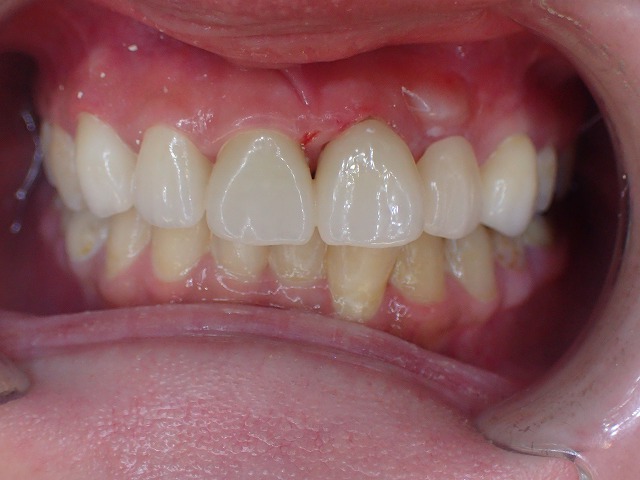
どう見ても前歯のブリッジは、白い材料であっても、形や並びによって見た目の印象が大きく変わります。この症例では、前歯に大きな隙間があるジルコニアブリッジをやり直し、自然に見える前歯の形とバランスを整えました。
前歯の見た目やブリッジのやり直しでお悩みの方に向けて、治療の考え方をご紹介します。
当方の視点では、このような設計は見た目のバランスの面で課題があると考えます。
実際、他人から見たときの印象にも影響しやすい形態だと思われます。
ジルコニアブリッジを除去し、見た目のバランスを整えるよう再製作しました。

このページの結論
前歯のジルコニアブリッジは、やり直しによって見た目の印象を改善できることがあります。
この症例では、大きな隙間が目立つ前歯のブリッジを再製作し、前歯がより自然にそろって見えるよう整えました。
前歯の治療では、白い材料を使うことだけでなく、形・位置・バランスまで含めて考えることが大切です。すでに奥歯のジルコニア修復が終わっているので、バランスよく前歯を設計・製作
することができました。
前歯が開いているジルコニア 当たり前のこときれいに配列
費用をかけても、見た目に課題が残ることがあります。
費用をかけても、見た目に課題が残ることがあります。
見た目の印象という点でも、
再評価したほうがよいケースだと考えます。

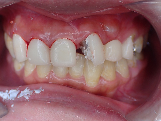
当方ではお勧めしないインレーブリッジ ジルコニアで制作されていた
片側の犬歯が欠損していることもあり、
インレーブリッジとしては破損がみられました。
当方では、インレーブリッジは避けたほうがよいと考える症例を多く経験しています。
●ジルコニアのインレーは当院ではおすすめしていません。
●インレーブリッジは当院ではおすすめしていません。
その両方の組み合わせは、特に慎重に考えたほうがよいとアドバイスしています。

ジルコニアインレーブリッジ除去開始

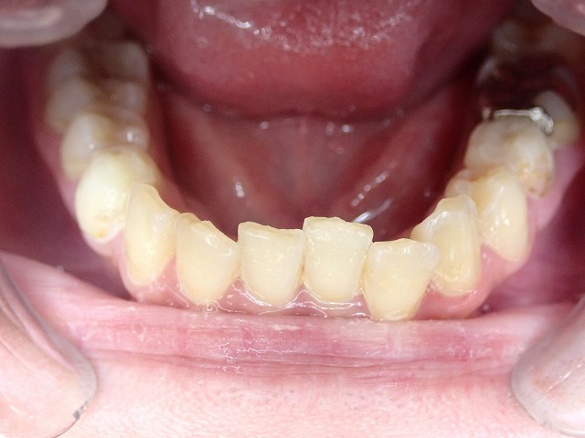
下顎前歯の配列に乱れがありますが
上の前歯の内側で対応すれば
はキレイに並べることが可能です。

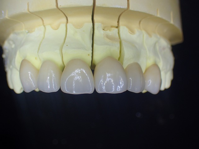
技工物完成
見た目のバランスが整うように配列しました。
犬歯が欠損していますが、
前から見たときに前歯がそろって見えるよう工夫してあります。
前歯が欠損している場合でも、
他人から見たときに自然に見えるよう配慮する方法があります。

前歯が欠損しているので
歯列はやや左寄りになります。

ジルコニアブリッジ ジルコニアクラウン装着
誰が見ても歯が欠損しているとは思えないでしょう。

歯の前後位置 角度など
安静時に自然に見える形態になっています。
こういった場面は、
ご本人がまったく気が付かない
見る機会もない、他人からの目線ですが
これが審美歯科的には大切な項目だと考えます。
前歯の犬歯が欠損しているので
やや左よりですが、
顔面バランスもよくまとまっています。

この症例での自由診療のご負担は、
●前歯6本のジルコニアクラウン
となります。
よくある質問
Q:前歯のジルコニアブリッジはやり直しできますか?
A:はい。見た目の形や並び、すき間、色調、バランスが気になる場合には、状態を確認したうえでやり直しを検討できることがあります。
Q:前歯のブリッジをやり直すと、どんな点が改善できますか?
A:歯の大きさや形、前歯の見え方、左右のバランス、すき間の目立ち方などを見直せることがあります。見た目だけでなく、清掃性や噛み合わせも確認が必要です。
Q:犬歯がない場合でも、前歯を自然に見せることはできますか?
A:状態によっては可能です。歯の位置関係や形態を工夫し、前から見たときに前歯がそろって見えるよう配慮して治療計画を立てることがあります。
Q:ジルコニアは前歯の治療にも使えますか?
A:はい。前歯の補綴治療で使われています。ただし、見た目の自然さや透明感、形態の作り方が重要になるため、症例ごとに設計を考える必要があります。現在では高透明度で
グラデーションが付与されたマルチレイヤージルコニアが流通しており、この症例でも
マルチレイヤージルコニアを使っています。
Q:前歯の見た目が気になる場合、まず何を相談すればよいですか?
A:現在のブリッジやかぶせ物のどこが気になるのか、見た目をどこまで改善したいのか、機能面で問題があるかを確認することが大切です。状態によって治療方法は変わります。
ご相談だけでも構いませんので、アポイントはこちら
「とりあえず今の状態を診てほしい」というご相談も承っております。
お口全体の健康と美しさを、ハイレベルな技術でトータルコーディネートします。
治療の途中放置や、お口全体の悩み。まずは相談であなたの「これから」のストーリーを一緒に考えましょう。
ジルコニアを検討中の方は
ジルコニア治療を検討中の方へ|鶴見・北村歯科の総まとめガイド |
前歯をキレイにしたい・歯並びを整えたい方へ|できること・できないこと総まとめ
自由診療の保証規定 自由診療は規定に基づき5年間の保証を設定
きれいにしたい 転院など お困りごとのある方
北村歯科/鶴見 自由診療のジルコニア関係 費用は安価です
自由診療費用 税別
●ジルコニアクラウン前歯 38,000円x本数
●ジルコニアクラウン奥歯 32,000円×本数
その他 この2項目だけ必要なことがあります。
●自由診療除去費用 5,000円×本数
●ファイバーコア 10,000円×本数
受診前に大まかな相談をしたい場合は、
ご利用いただくこともできます。
丁寧な検査、歯周基本治療、必要に応じた外科処置、
定期メンテナンスまで一貫して行い、できる限り歯を残す方針です。
北村歯科
この記事の執筆・監修: 北村秀紀(歯科医師/横浜市鶴見区 北村歯科)
北村歯科の治療実績と専門性 北村秀紀歯科セミナー
北村 秀紀が開発した、クリスタルブライトニング
北村 秀紀主宰しているクリスタルブライトニングセミナー
ホワイトニングセミナー|【公式HP】クリスタルブライトニング(最新ホワイトニング・歯科・歯医者・デンタルクリニック)
(2026年2月9日 19:46:42)
前へ:« 2025年のまとめ 北村歯科・鶴見の考え方 いろいろな対応のため
次へ:目的別に治療方法を探す 北村歯科 鶴見駅の歯医者 »





