【2026年3月4日 6:58 PM更新】
概要
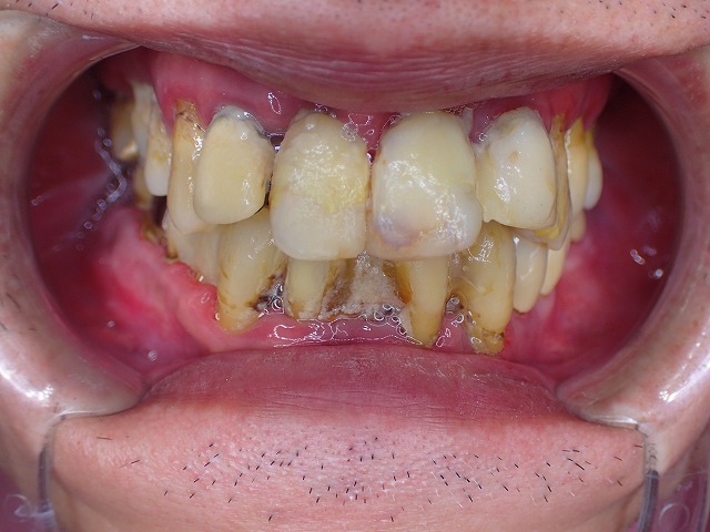
重度歯周病で衛不良
その状態でも固定と歯石取り スケーリング
ルートプレーニングを繰り返してお手入れを
してきました。しかしアポイント通りに
しっかり通っていただける患者さんです。
制作中
グラグラの歯には固定と歯周病処置を繰り返す
どうにか維持してきた歯です
前歯はすべてグラグラ
固定して維持していますが
今すぐにでも抜けてしまいそうです。


下の歯もすべてグラグラ

しかしここの歯だけは意外としっかりしています。

ここで決断 多少費用が掛かっても、どうにか咬める状態になりたい
ジルコニアブリッジをおねがいされました。
前歯はエナメルボンディング固定で、
かろうじて維持している状態です。

技工物完成
ジルコニアを選択すると、キレイに出来上がります。

ジルコニアブリッジ完成
ジルコニアを選択するとキレイに
製作することができます。
前歯は完全にグラグラです。
この前歯4本が脱離しても
ブリッジを製作すれば、食事には不自由しないでしょう。

奥歯にブリッジは入ったけど
歯磨き不足。
今後徹底的な生活指導をしてゆきます。
この患者さんは、きちんと通院していただけるので
回数を重ねて一緒に努力してゆきます。

続く
前へ:« 歯周病で歯がグラグラ 固定で長期に維持 鶴見駅の歯医者|北村歯科
次へ:ジルコニアインレーはおすすめしない|歯科医が説明する理由|鶴見駅の歯医者 北村歯科 »





