【2026年3月2日 12:39 PM更新】
重度の歯周病で歯がグラグラしていると、
「もう抜くしかないのでは」と判断されることが大半です。
しかし実際には、すべてのケースではありませんが、
固定を続けながら維持できる場合もあります。
この記事では、歯周病で動揺した歯をどのように固定し、どのように長期維持してきたかを症例ベースでご紹介します。
もしも自由診療を応用できるなら・・・消耗品として
その事例も後半に症例集をリンクしてあります。
このページの結論
歯周病でグラグラになった歯でも、条件によっては固定しながら維持できることがあります。
ただし、長く保つために最も重要なのは、
固定そのものではなく、歯肉の炎症に対する歯周病処置と予防処置を継続することです。
抜歯しかないと思える状態でも、まずは今の歯の状態と、
維持できる可能性を丁寧に見極めることが大切です。
固定をしながら、予防処置 歯石除去 歯周病処置を続けて
歯を維持している症例をご紹介しています。
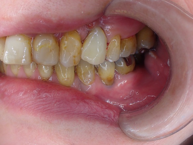
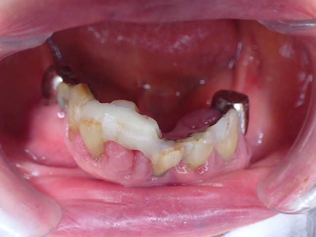
歯がグラグラでも、長期に歯を残す
歯周病で歯の固定
この状態でも歯を抜去せずに
10年以上維持しています。

右側の様子
重度歯周病の人は、虫歯も多く
レジン充填などが多いため、
充填を連結することで、固定しています。

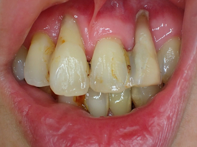
左側
今回は、歯が崩壊したので
CAD/CAM冠を制作しました。

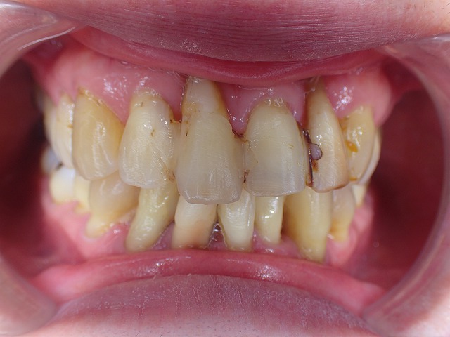
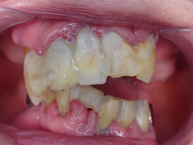
歯周病固定 実例2 長期にわたって観察管理・予防処置
10年間維持の状態
この段階で10年経過 2018年時点の状況
固定することにより歯の寿命を延命してきました。
定期的なお手入れが大切です。
歯の周囲の歯周組織は破壊され
相対的に歯が長くなっています。

歯周病固定 実例3 長期にわたって観察管理・予防処置
定期整備を続けてゆくと、なんと症状は緩解して再生してくる
2026年2月
固定と、定期整備を続け、歯周病はむしろ緩解
しています

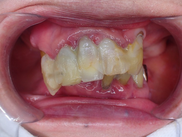
歯周病固定 実例3 歯を抜きたくないと15年以上 長期の観察管理・予防処置
末期中の末期 この状態でも15年以上維持できている
大切なのはご本人の自由意志
最後まで持たせたいという患者さんのご希望
コンポジットレジン充填の際に
それを連結することで、固定。
もっとも重要なことは歯肉の炎症に対する
歯周病処置 予防処置です。

咬み合わせのバランスにより、歯が移動しているので
左右が非対称です。

半分開口した状態です。

もしも自由診療で治療できたなら ジルコニアを消耗品と割り切る人
ジルコニアのかぶせ物で連結固定の症例
個人個人で価値観が異なるので、
こういった問題はご本人の価値観によりますが
若干の投資をしても、
◎歯を復元したい
◎歯を作りたい
◎歯を残したい
と考える人がいますが、ご参考までに症例をアップします。
人生最後のチャンス ジルコニアは消耗品と考えても歯を作りたい
よくあるご質問
歯周病でグラグラの歯でも残せることはありますか?
はい。状態によっては、すぐに抜歯せず、固定や歯周病処置を行いながら維持を目指せることがあります。ただし、残せるかどうかは歯ぐきや骨の状態、噛み合わせ、周囲の歯の状況をみて判断します。
グラグラの歯にはどのような処置を行いますか?
このページで紹介している症例では、連結固定を行いながら、歯周病処置や予防処置を継続して維持を図っています。固定だけでなく、炎症のコントロールが重要です。
固定すればそれだけで長く持ちますか?
固定だけでは十分ではありません。歯肉の炎症を抑えるための歯周病処置、日々の清掃、定期的なメンテナンスを続けることが大切です。
自由診療ではどのような固定方法がありますか?
状態によっては、自由診療でジルコニアのかぶせ物を用いた連結固定を検討することがあります。どの方法が合うかは、残っている歯の状態や噛み合わせをみて判断します。
グラグラの歯を残したい場合、まず何を相談すればよいですか?
まずは、今どの程度歯周病が進行しているか、固定で維持できる可能性があるか、抜歯した場合との違いは何かを確認することが大切です。状態によって治療の考え方は大きく変わります。
ご相談だけでも構いませんので、アポイントはこちら
「とりあえず今の状態を診てほしい」というご相談も承っております。
お口全体の健康と美しさを、ハイレベルな技術でトータルコーディネートします。
治療の途中放置や、お口全体の悩み。まずは相談であなたの「これから」のストーリーを一緒に考えましょう。
ジルコニアを検討中の方は
ジルコニア治療を検討中の方へ|鶴見・北村歯科の総まとめガイド |
自由診療の保証規定 自由診療は規定に基づき5年間の保証を設定
きれいにしたい 転院など お困りごとのある方
北村歯科/鶴見 自由診療のジルコニア関係 費用は安価です
自由診療費用 税別
●ジルコニアクラウン前歯 38,000円x本数
●ジルコニアクラウン奥歯 32,000円×本数
その他 この2項目だけ必要なことがあります。
●自由診療除去費用 5,000円×本数
●ファイバーコア 10,000円×本数
受診前に大まかな相談をしたい場合は、
ご利用いただくこともできます。
鶴見駅東口階段降りたら目の前 徒歩30秒
丁寧な検査、歯周基本治療、必要に応じた外科処置、
定期メンテナンスまで一貫して行い、できる限り歯を残す方針です。
北村歯科
この記事の執筆・監修: 北村秀紀(歯科医師/横浜市鶴見区 北村歯科)
前へ:« ジルコニアインレーはおすすめしにくい?e.maxインレーとの違い|鶴見駅の歯医者 北村歯科
次へ:歯周病末期 歯がグラグラ 固定で維持 最後の一手 鶴見駅の歯医者|北村歯科 »





