【2026年1月16日 11:31 AM更新】
JR鶴見駅東口の階段を降りてすぐ、徒歩30秒の北村歯科です
過蓋咬合の方が前歯をきれいにしたい場合、
見た目だけでなく噛み合わせまで含めて考えることが大切です。
前歯の形や並びだけを整えても、負担のかかり方によっては長持ちしにくいことがあります。
この記事では、過蓋咬合の方の前歯治療でどこを重視するのかを、
症例ベースでわかりやすく整理します。
このページの要約
過蓋咬合の方が前歯をきれいにしたい場合、前歯だけを整えればよいとは限りません。
より自然な前歯の見え方まで求めるなら、咬合挙上を行って前歯にスペースを作る必要があることがあります。
その場合は治療本数が増え、期間・予算・初期の違和感も含めて考えることが大切です。
症例中に過蓋咬合に関する考察もしてあります。
患者さんの選択により右側の小臼歯のジルコニアクラウンと
上顎前歯をジルコニアクラウンの制作のみでした。
ある程度きれいになった時点で、患者さんはホワイトニングを
ご希望なさいました。
過蓋咬合を修正して、前歯をキレイに
すでに小臼歯(小さな奥歯)2本をジルコニアで修正済
かみ合わせを持ち上げてあります。
ご本人は前歯をキレイにすることをお望です

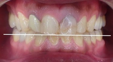
白線は水平線。
右側の歯が短くなっているのは
歯ぎしりによって摩耗したからです。

歯並びの修正と 咬み合わせ修正のため
かみ合わせを持ち上げる 咬合挙上 バイトアップのために
2本の小臼歯にジルコニアクランを制作
ミラーでの画像なので左右反転となっています。
前歯を制作する際の歯並びの基本ラインを
キレイにするためのジルコニアです。

歯並びの修正のためのジルコニア
この2本のラインにそろえる曲線で
ジルコニアの歯並びを設計

技工物完成
しかし下顎の前歯は上顎の前歯に
ほとんど隠れた状態です。

過蓋咬合に関する解説
前歯をキレイにしたい。どこまでキレイにするかの問題 過蓋咬合の検証
技工物を制作するする段階では
製作したジルコニアは生理的な位置まで沈んでいるので
咬み合わせが若干深くなっています。

持ち上けた過蓋咬合
平均的な咬み合わせの深さは
下顎の前歯が1/3ほど隠れた位置です。
本来ならこの位置で上下の前歯を制作すると
もっとキレイに見える前歯に仕上がります。
もしもこの状態まで求めるならば
咬合挙上して(バイトアップして)
前歯にスペースを作らなくてはならないので
咬み合わせ補正のためのジルコニアクラウンを
8~12本制作する必要があります。

ここまでやるには・・・・
●治療期間が長くなる
●ジルコニアクラウンの本数が必要なために
そのための予算が必要となる。
●位置関係を変えるために、初期には違和感がある
●虫歯処置や根管治療が入ると治療期間が
より長くなる
などが考えられます。
咬過蓋咬合における咬み合わせ位置の問題
今回は若干の補正をしましあたが
今回はマジックでマークした部分に
下顎の前歯が咬んでいますが
過蓋咬合の場合には、下顎の前歯は
上顎の歯ではなく、
歯肉と当たっている場合が多くあります。

上下の接触の度合い
かろうじて上下の歯が接触しています。
最低限ここまではかみ合わせを
作ると良いと思います。

平均的な上下接触点
平均的な咬み合わせの位置は
矢印の先付近です。

装着後 左右水平のズレを形態修正してゆく
咬合平面と計測点には合わせてありますが
生体に装着すると違和感が出てきます。
この状態から形態修正を行い
顔面に合わせてゆきます。

形態修正 第一段階

第二段階

ここで、上記画像と下記画像をよく見て考察
ジルコニア前
近年のジルコニアは、透明度が高いために
元々の支台になっている歯の色が投影されます。
歯肉に広がった金属の色や
過去の歯肉の炎症の合った部位は
歯肉が黒いために、歯も黒ずんで見えます。

装着一週間後
歯肉とジルコニアがきれいに
融合してきました。
過去の治療に使った金属の影響も
次第に緩和されています。
過蓋咬合を気にしなければ
これでもかなりの仕上がり。
あと一歩煮詰めるなら
右側の歯の乱れを修復すると良いでしょう。
小臼歯2本にジルコニアをかぶせて
歯並びをそろえます。

よくあるご質問
過蓋咬合でも前歯をきれいにできますか?
はい、可能なことはあります。ただし、前歯の見た目だけを整えるのではなく、咬み合わせの深さや前歯に必要なスペースまで含めて考えることが大切です。
前歯だけを治せば、きれいに仕上がりますか?
状態によります。過蓋咬合では、前歯だけを整えても十分なスペースが確保できず、理想的な見た目になりにくいことがあります。咬み合わせの補正が必要になる場合があります。
過蓋咬合の前歯治療では、なぜ咬合挙上が必要になることがありますか?
前歯をより自然できれいに見せる位置に作るためには、上下の前歯の間にスペースが必要になることがあります。そのため、咬み合わせを持ち上げる咬合挙上(バイトアップ)を検討することがあります。
どこまできれいにするかで治療内容は変わりますか?
はい。本文でも、より理想的な前歯の見え方まで求める場合には、咬み合わせ補正のためにジルコニアクラウンを8〜12本ほど制作する必要がある場合があると説明されています。
過蓋咬合の治療で考えておくことは何ですか?
治療期間が長くなること、必要な本数が増えると予算がかかること、位置関係を変えることで初期に違和感が出ること、虫歯や根管治療が入るとさらに期間が延びることなどがあります。
ホワイトニングをやりたい! というご希望があったので 北村歯科でのホワイトニング
当院のホワイトニングはジルコニア治療の最終段階で
今月は当院でも時間が取れないので
1時間の時間を取って
1回の来院で可能な限り対応しました。
ホワイトニング1回目照射前
下の歯の黄ばみが目立ちます。

1回目照射後
白くなりだしました。

3回目照射後
この症例の場合には上の前歯がジルコニアクラウン
日本人平均よりもかなり白い歯を制作してありますが
それが基準となるので、白さの度合いがよくわかります。
かなり状態が近づきました。

本来なら3来院をワンセットにしてホワイトニングを
施術することが推奨ですが、
予約関係の問題で今回は
1回の来院ですので
本来はほぼ上の歯と同じ状況になると予想できます。
ホワイトニングに関して、もっと知りたい方へ
前歯をキレイにしたい・歯並びを整えたい方へ|できること・できないこと総まとめ
ご相談だけでも構いませんので、アポイントはこちら
「とりあえず今の状態を診てほしい」というご相談も承っております。
お口全体の健康と美しさを、ハイレベルな技術でトータルコーディネートします。
治療の途中放置や、お口全体の悩み。まずは相談であなたの「これから」のストーリーを一緒に考えましょう。
ジルコニアを検討中の方は
ジルコニア治療を検討中の方へ|鶴見・北村歯科の総まとめガイド |
前歯をキレイにしたい・歯並びを整えたい方へ|できること・できないこと総まとめ
自由診療の保証規定 自由診療は規定に基づき5年間の保証を設定
きれいにしたい 転院など お困りごとのある方
北村歯科/鶴見 自由診療のジルコニア関係 費用は安価です
自由診療費用 税別
●ジルコニアクラウン前歯 38,000円x本数
●ジルコニアクラウン奥歯 32,000円×本数
その他 この2項目だけ必要なことがあります。
●自由診療除去費用 5,000円×本数
●ファイバーコア 10,000円×本数
受診前に大まかな相談をしたい場合は、
ご利用いただくこともできます。
丁寧な検査、歯周基本治療、必要に応じた外科処置、
定期メンテナンスまで一貫して行い、できる限り歯を残す方針です。
鶴見駅東口階段降りたらすぐ 徒歩30秒
北村歯科
この記事の執筆・監修: 北村秀紀(歯科医師/横浜市鶴見区 北村歯科)
北村歯科の治療実績と専門性 北村秀紀歯科セミナー
北村 秀紀が開発した、クリスタルブライトニング
北村 秀紀主宰しているクリスタルブライトニングセミナー
ホワイトニングセミナー|【公式HP】クリスタルブライトニング(最新ホワイトニング・歯科・歯医者・デンタルクリニック)b用b用
(2026年3月8日 16:13:39)
前へ:« 前歯を綺麗にしたい方 前歯のお悩み解決指針 北村歯科 鶴見駅の歯医者
次へ:前歯をキレイにしたい方へ|過蓋咬合・歯ぎしりをジルコニアで修復|鶴見駅の歯医者 北村歯科 »





