【2026年1月26日 4:55 PM更新】
概要
JR鶴見駅東口の階段を降りてすぐ、徒歩30秒の北村歯科です。
前歯を綺麗にしたい
人前で笑いたい
というご希望で来院されました
工事中 制作中
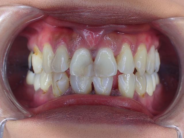
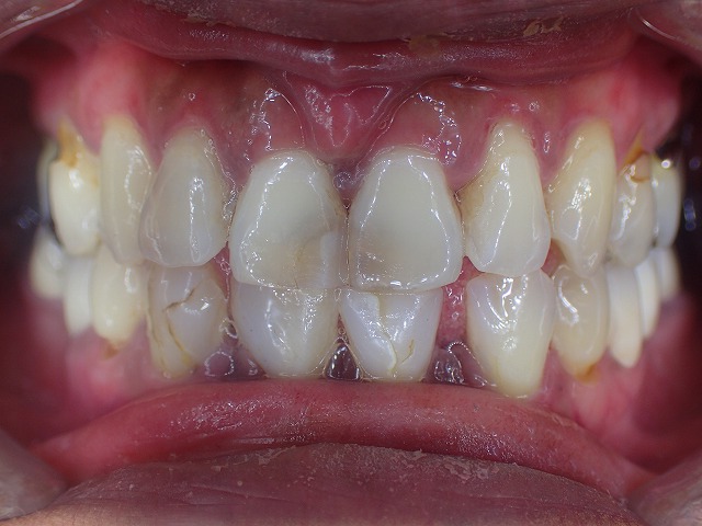
初診時画像 レジン充填 虫歯治療のあとが目立ちます レジン充填は劣化します
レジン充填が多数してあります。
この状態だと劣化して着色以外にも
大きく崩れてくるリスクがあります。

奥歯ないために、前歯で咬む癖があり
歯の先端から崩れ始めています。
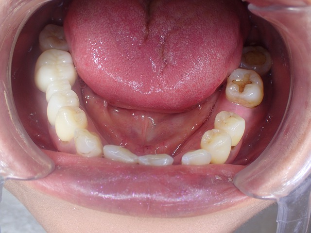
下顎の前歯は2本欠損しています。

奥歯で咬めないと切端咬合の癖がつく
奥歯がないと、前歯で咬むようになり
前歯がボロボロと崩れてきます。
上が本来あるべき咬み合わせ
下が奥歯がないので前歯の上下で咬む習慣
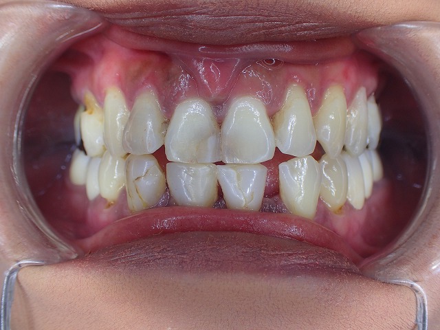
歯の切端が削れています。
この場合は大きくレジン充填がしてありますので
これ以上レジン充填をすると、歯が崩壊するリスクが
高くなると思われます。

最初に奥歯を制作してから前歯を作る大原則 咬み合わせは奥歯で決める
咬み合わせは奥歯で決まります。安静時には前歯は上下には力が掛かりません。
奥歯の欠損を放置していたので
顎の変形が起こり 後ろの歯が前に向いています。
顎の骨が折れるように変形しているからです。
奥歯で前歯の位置は決定すると同時に
咬合力は奥歯で負担するように
奥歯のジルコニアブリッジを先に制作します。


右側が入りました。
次は左側にジルコニアブリッジを制作します。

左側のジルコニアブリッジも制作

奥歯が入り咬み合わせがしっかりとした 切端咬合の癖に対応
左右の奥歯が揃ったので奥
きちんと咬めるようになりました。
咬み合わせも自然に収まっています。。

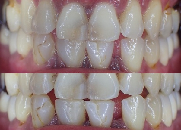
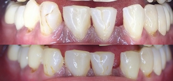
ジルコニアクラウン前歯の制作開始 下顎前歯の形態修正
下顎前歯の形態修正前 修正後の比較
奥歯も放置のまま
前歯には欠損している歯が2本あります。
上の歯を綺麗に並べるために
形態修正をしました。
上が形態修正前
下が形態修正後

技工物完成 奥歯で咬む位置を設定した状態で
技工物にも計測した
水平 垂直が写して
描記してありますが、実際にお口装着すると
多少のズレがありますので、お口の中で
ジルコニアの形態を修正します。

マルチレイヤージルコニア
先端は白く透明
歯頚部は色が濃く
天然の歯のようにグラデーションがあります。

続く
歯列を整えることによる顔面の変化 虫歯の放置で顔面バランスが崩れる
前歯のジルコニア治療前の顔つき
歯列の整えることと顔面の変化は一致?虫歯を

装着直後 左側が下に落ちている

お口の中でジルコニアを形態修正
次第に左右対称に

続く・・・・
ご相談だけでも構いませんので、アポイントはこちら
「とりあえず今の状態を診てほしい」というご相談も承っております。
お口全体の健康と美しさを、ハイレベルな技術でトータルコーディネートします。
治療の途中放置や、お口全体の悩み。
まずは相談であなたの「これから」のストーリーを一緒に考えましょう。
お困りごと解決ガイド|歯の悩み・トラブル別対応一覧|鶴見駅すぐのの歯医者|
共通情報 鶴見駅30秒の歯医者|北村歯科
受診前に大まかな相談をしたい場合は、
ご利用いただくこともできます。
丁寧な検査、歯周基本治療、必要に応じた外科処置、
定期メンテナンスまで一貫して行い、できる限り歯を残す方針です。
北村歯科
この記事の執筆・監修: 北村秀紀(歯科医師/横浜市鶴見区 北村歯科)
前へ:« 前歯をキレイに 過蓋咬合をジルコニアで 2人目 鶴見駅の歯医者|北村歯科
次へ:





