【2026年2月26日 12:21 PM更新】
差し歯が折れた場合、単に被せ直せば済むとは限りません。
この症例では、土台にネジ(スクリューピン)が使われており、内部に強い感染と歯根の亀裂が見つかりました。
この記事では、差し歯が折れた歯の内部で何が起きていたのか、そしてどのように治療を進めたのかを症例ベースでご紹介します。
監修者
北村歯科 院長 北村秀紀
所在地
神奈川県横浜市鶴見区鶴見中央1-31 シークレイン2F
JR鶴見駅東口 京急鶴見駅 階段降りたら目の前 徒歩30秒
このページについて
このページは、北村歯科が鶴見駅周辺で歯医者を探している方に向けて、 診療内容や治療の考え方を整理して案内しているページです。
診療内容
虫歯治療 / 歯周病治療 / 根管治療 / 審美歯科(ジルコニア・セラミック) / 予防歯科
最終更新日
2026年3月
このページの結論
差し歯が折れた場合、見えている部分だけでなく、
内部の土台や歯根の状態まで確認することが重要です。
この症例では、スクリューピンが使われた土台の周囲で不適合や破損が起こり、
強い感染と歯根の亀裂がみられました。
そのため、単なる被せ直しではなく、根管治療・ファイバーコア・
最終的な被せ物の再検討が必要になりました。
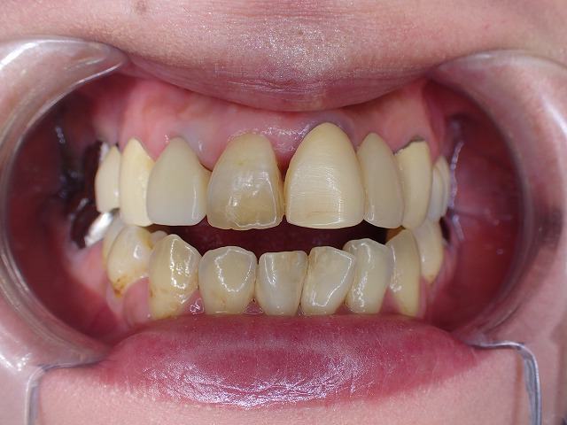
今回は費用面などを考量して、健康保険で制作できる
cad/cam冠を選択しました。
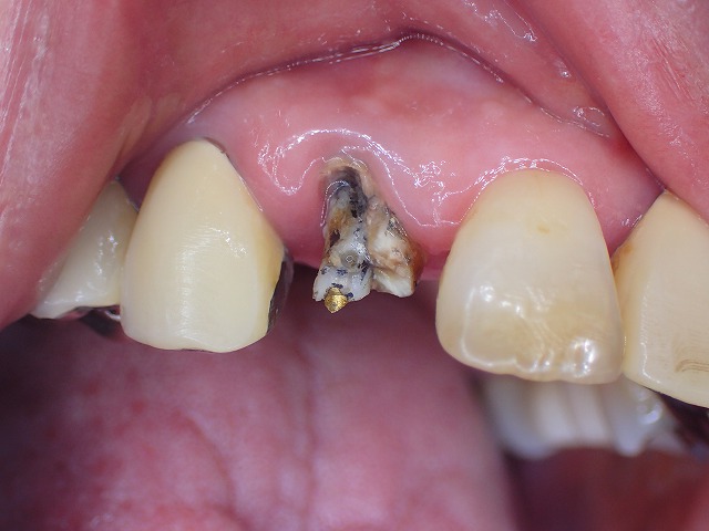
折れた歯の中にはスクリューピン 歯にネジ スクリュ-ピンがらみは状態が悪い
これがあると歯がボロボロのケースが多い
スクリューピンはネジを中心にして、
その周囲をレジンで固めてあります。
しかし、模型を作って制作するわけではないので
歯質とはきちんと適合しないばかりか
周囲のレジンが破損するため
トラブルリスクが高くなります。
これで、痛みなどの症状が出ると
除去して根管処置が必要となります。

装着されていたかぶせ物
中はひどい状態

ネジを除去すするとみての通り壊滅的状態 これが何だかわかりますか?
除去後の画像。
根管充填剤も一緒に脱落しましたが
この状態だと、歯根はひどい虫歯です。
歯根の先端までひどい虫歯です。

感染しています。

次第にキレイにしてゆきます。
見ての通り、歯根に亀裂が入っています。

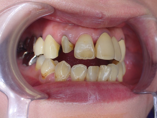
一応の根管治療をしてファイバーコアを制作
根管治療後ファイバーコアを製作

自由診療はお勧めできないので、健康保険のCAD/CAM冠を制作
自由診療は状態のよくない歯には
おすすめしていません。

続く・・・・
参考文献 日本歯内療法学会
https://jea-endo.or.jp/materials/guidelines.html
よくある質問 この症例で問題のスクリューピン 歯の中にネジに関して
Q:差し歯が折れた場合、すぐに被せ直せば治りますか?
A:状態によります。差し歯が折れた原因が、土台の不適合、歯根の虫歯、感染、歯根の亀裂などにある場合は、単に被せ直すだけでは長持ちしないことがあります。まず中の状態を確認することが重要です。
Q:スクリューピン(歯の中のネジ)が入っていると何が問題になりますか?
A:このページの症例では、ネジを中心にレジンで固めた土台が使われていましたが、模型を作って制作する土台ではないため歯質との適合が悪く、周囲のレジンが破損しやすくなると説明されています。その結果、トラブルリスクが高くなることがあります。
Q:差し歯の中がボロボロになっていることはありますか?
A:あります。本文では、被せ物を外してネジを除去すると、歯根がひどい虫歯になっており、根の先端まで虫歯が進み、感染も確認されたと説明されています。見た目以上に内部が悪化していることがあります。
Q:痛みが出ている場合、どのような治療が必要になりますか?
A:本文では、スクリューピン周囲のトラブルで痛みなどの症状が出た場合、除去して根管処置が必要になると説明されています。歯の内部に感染がある場合は、まず根管治療で感染源の除去を行うことが大切です。
Q:歯根に亀裂が入っていても治療を進めることはありますか?
A:状態によります。この症例では、歯根に亀裂が確認されながらも、一応の根管治療を行い、ファイバーコアを制作しています。歯を残せる可能性があるかを確認しながら判断することになります。
Q:根管治療の後はどのように歯を補強しますか?
A:このページでは、一応の根管治療を行った後にファイバーコアを制作したと記載されています。土台を整えたうえで、最終的な被せ物の選択を行います。
Q:自由診療ではなく、保険のCAD/CAM冠を選ぶこともありますか?
A:はい。この症例では、歯根の状態や亀裂を踏まえ、自由診療は勧めず、健康保険のCAD/CAM冠を制作したと記載されています。症例によっては、高額な自由診療より保険治療の方が適切と判断されることがあります。
Q:差し歯が折れた・歯がボロボロな状態でも相談できますか?
A:はい。本文でも『とりあえず今の状態を診てほしい』という相談を受け付けている案内があります。差し歯の破折、感染、虫歯、途中放置などを含めて相談できます。
自由診療における 費用 治療期間 リスク 保証規定
自由診療をご希望の場合
自由診療費用 税別
●ジルコニアクラウン奥歯 32,000円×2本
治療期間
通院4回
リスク
●通常歯冠補綴に関するリスクは、根管治療の履歴などがあれば
症状が出た場合には、再根管治療もります。
●支台となってい歯の状況によります。
●ホワイトニング後はしみる感覚が残る場合があります
●歯周病治療に関しては、治療期間が長くなることと
個人差により期間に開きがあります。
保証規定
ご相談だけでも構いませんので、アポイントはこちら
「とりあえず今の状態を診てほしい」というご相談も承っております。
お口全体の健康と美しさを、ハイレベルな技術でトータルコーディネートします。
治療の途中放置や、お口全体の悩み。まずは相談であなたの「これから」のストーリーを一緒に考えましょう。
きれいにしたい 転院など お困りごとのある方
北村歯科/鶴見 自由診療のジルコニア関係 費用は安価です
自由診療費用 税別
●ジルコニアクラウン前歯 38,000円x本数
●ジルコニアクラウン奥歯 32,000円×本数
その他 この2項目だけ必要なことがあります。
●自由診療除去費用 5,000円×本数
●ファイバーコア 10,000円×本数
受診前に大まかな相談をしたい場合は、
ご利用いただくこともできます。
鶴見駅東口階段降りたら目の前 徒歩30秒
丁寧な検査、歯周基本治療、必要に応じた外科処置、
定期メンテナンスまで一貫して行い、できる限り歯を残す方針です。
北村歯科
この記事の執筆・監修: 北村秀紀(歯科医師/横浜市鶴見区 北村歯科)
(2026年3月9日 11:30:08)
前へ:« 前歯割れ 虫歯 歯ぎしり レジン充填では修復できない
次へ:転院 ジルコニアを入れた歯が炎症 腫れと痛み根管治療 »





