【2026年4月1日 6:10 PM更新】
根尖切除を受けた歯は、状態によっては被せ物が外れやすくなったり、
歯そのものが限界に近づいていたりすることがあります。
今回の症例では、何度も脱離を繰り返していた歯に対して、
MTAセメント・ファイバーコア・ジルコニアクラウンを用い、
できるだけ歯を残す方向で治療を行いました。
「抜歯と言われたが残せる可能性はあるのか」
「海外滞在中に外れないようにしたい」
という方にも参考になる内容です。
このページの結論
根尖切除の既往があり、脱離を繰り返す歯でも、状態を慎重に見極めたうえで、MTAセメントによる封鎖・補強、ファイバーコアの応用、被せ物の設計見直しによって、歯を残せる可能性があります。
ただし、すべての歯で保存できるわけではなく、歯根や周囲組織の状態によっては抜歯が適切な場合もあります。大切なのは、
見た目だけでなく、外れにくさ・噛む力・残せる期間まで含めて
治療計画を立てることです。
状況が悪い場合には、症状が再発するなどのリスクがありますが
そのリスクをご理解いただいている場合のみ
ハイリスクな治療に挑戦できます。
状態の良くない歯はその後症状の出るリスクがあります。
リスクを理解していただいての処置となります。
「 歯がよく 外れる」
「根尖切除後 予後が良くない 被せ物 脱離」
「MTA 歯を残す」
「他院で抜歯と言われたが残したい」
という方もご参考にしてください。
この方は古くから通院されている患者さんです。
お仕事の関係で、日本と海外を往来しながら
お仕事をされているので、
時間をかけて利用できる機会が少なかった方です。
今回は4か月日本に滞在するということで
海外で歯が脱離しないことを目的に
治療を進めることになりました。
口腔内を観察して、過去に根尖切除術の履歴があり
その歯がしばしば脱離してお困りでした。
今回は海外で脱離しない様な設計と根管処置を施しました。
状況は良くなく、今後問題が出るリスクは高いと思われますが
ご本人の生活に困らにことを主眼としました。
根管治療や根尖切除後の歯が何度も外れる方へ
今回は、過去に根尖切除術を受けた歯が何度も脱離してしまうというお悩みで来院された方の症例です。
この患者さんは、日本と海外を行き来する生活をされており、限られた滞在期間の中で、海外滞在中に被せ物が外れにくい状態にしたいという希望がありました。
診察の結果、問題の歯はすでに大きなダメージを受けており、通常であれば抜歯が検討されてもおかしくない状態でした。
それでも今回は、できるだけ歯を残す方向で治療を進めました。
来院時の状態
問題の歯は、過去に根尖切除が行われており、被せ物がしばしば外れていました。
さらに、歯ぎしりの影響も強く、被せ物自体に大きな負担がかかっていました。
詳しく確認すると、根の先に近い部分は非常に厳しい状態で、
歯の保存が簡単ではないことが分かりました。
このような歯では、ただ被せ物を入れ替えるだけでは、
再び外れたり、さらに悪化したりする可能性があります。
今回行った治療
まず、炎症を落ち着かせたうえで、根の先に近い厳しい部分に対して処置を行いました。
その際に使用したのがMTAセメントです。
MTAセメントは、歯の保存を考える場面で用いられる材料のひとつで、
封鎖性が高く、歯の内部を保護する目的で使われます。
今回は、傷んだ部分をできるだけ安定させるためにMTAを用い、
その後にファイバーコアを作製しました。
さらに、脱離を繰り返していたこと、
そして海外滞在中の再脱離リスクをできるだけ下げたいことを考慮し、
今回はジルコニアクラウンを連結して作製しました。
通常は、連結冠を第一選択にしないこともありますが、
この症例では条件を総合的に判断して設計を決めています。
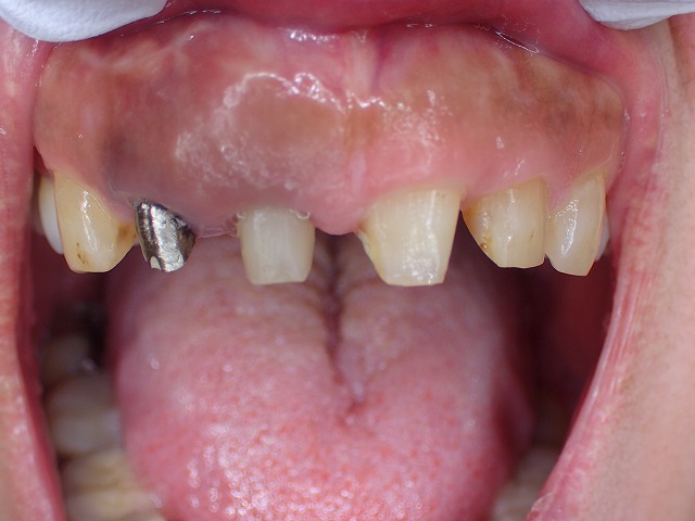
根尖切除の履歴のある歯が脱離して来院

歯ぎしりもひどく何度も脱離しています。
歯ぎしりでメタルボンドクラウンに
穴が空いています。

消炎処置後
すでに歯は限界に達しています。
根管の先端部分は底抜けの状態で
歯周組織が見えている状況です。
通常なら抜歯の適応ですが、これを残すための努力をしました。

この状態に使用されるのは
MTAセメントです。
組織の保護、再生能力が高い材料です。

根尖の底抜けの部分を被覆するように
ツールを用いて充填
この状態でファイバーコアを制作します。

ファイバー子を装着
メタルボンドを除去した隣の歯は
メタルコアをそのまま利用します。

脱離を繰り返している歯なので
今回はジルコニアクラウンを脱脱防止のために
連結して制作します。
通常の状況では連結冠は制作しませんが
海外で脱離するリスクを考慮して連結冠としました。

なぜジルコニアを選んだのか
今回のように、歯ぎしりの力が強く、
しかも外れにくさが重視されるケースでは、被せ物の材質と設計がとても重要です。
ジルコニアは、強度に優れた材料であり、
条件によってはこのようなケースで選択肢になります。
ただし、材料が良ければ必ず長持ちするわけではありません。
本当に大切なのは、
歯の残っている量、土台の作り方、噛み合わせ、歯ぎしりの影響、被せ物のつなぎ方
まで含めて設計することです。
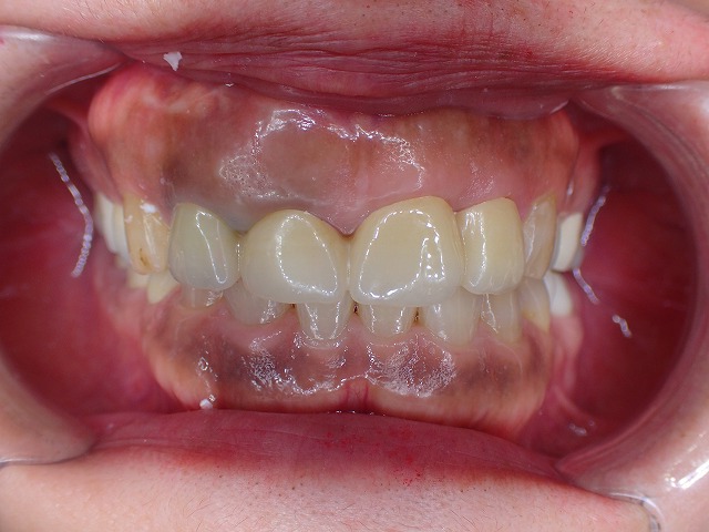
技工物完成

今回も最低限の厚みで制作してあります。

この症例で大切なポイント
今回の症例で重要だったのは、単に「白い歯を入れる」ことではありません。
外れやすい原因を見極め、
残せる可能性を少しでも高めるための処置を積み重ねたことに意味があります。
根尖切除後の歯、何度も脱離している歯、歯ぎしりの強い歯は、
見た目だけを整えても安定しないことがあります。
そのため北村歯科では、できるだけ歯を残す方向を考えつつも、
無理な延命にならないよう、現実的な見通しを含めてご説明しています。
過去より幾度となく痛めてきた歯ですので
状態は良くありませんが、短い滞在期間で
海外と日本を行き来しているので
少しでも安心できる状態にできることを目的としています。

この症例で大切なポイント
今回の症例で重要だったのは、単に「白い歯を入れる」ことではありません。
外れやすい原因を見極め、残せる可能性を少しでも高めるための処置を積み重ねたことに意味があります。
根尖切除後の歯、何度も脱離している歯、歯ぎしりの強い歯は、見た目だけを整えても安定しないことがあります。
そのため北村歯科では、できるだけ歯を残す方向を考えつつも、無理な延命にならないよう、現実的な見通しを含めてご説明しています。
こうしたお悩みがある方へ
- 人口の歯の被せ物が何度も外れる
- 抜歯と言われたが、残せる可能性があるか知りたい
- 海外赴任・長期出張・長期旅行の前に、外れにくい状態にしたい
- 歯ぎしりが強く、被せ物が壊れやすい
- MTAやファイバーコアを使った保存的な治療を相談したい
このような方は、状態によって治療方針が大きく変わります。
同じように見える歯でも、残せる場合と抜歯が適切な場合がありますので、
まずは現在の状態を丁寧に見極めることが大切です。
北村歯科の考え方
北村歯科では、
できるだけ歯を残すこと
見た目だけでなく、噛めること・外れにくいことを重視すること
患者さんの生活背景まで含めて治療計画を考えること
を大切にしています。
根尖切除後の歯、脱離を繰り返す歯、難しい前歯や被せ物のご相談も、状態を確認したうえで方針をご説明しています。
気になる方は、関連ページもあわせてご覧ください。
関連事項 もっと深堀して知りたい方は 下記のページを参考に
- 歯を残す治療(MTA・覆髄・神経保存)の総まとめガイド
- 歯の神経を残すか取るか・根管治療の総まとめ
- ジルコニア治療を検討中の方へ|総まとめガイド
- 歯ぎしり・食いしばり・かみしめの総まとめ
- 他院での治療にお悩みの方へ|転院・セカンドオピニオンのご案内
よくある質問
Q1. 根尖切除をした歯でも、残せる可能性はありますか?
はい、状態によっては残せる可能性があります。
ただし、根尖切除を受けた歯は、すでに骨の状態によって判断が大きく変わります。
見た目だけで判断せず、どこまで安定して使えるかを含めて診査することが大切です。
Q2. 根尖切除後の歯が何度も外れるのはなぜですか?
原因は一つではありません。
歯の残っている量が少ない、土台が弱い、噛み合わせの負担が強い、歯ぎしりや食いしばりがある、過去の治療で歯質が大きく失われている、などが重なると、被せ物は外れやすくなります。
単に接着し直すだけでは改善しないことも多く、外れる原因そのものを見直す必要があります。
Q3. MTAセメントとは何ですか?
MTAセメントは、歯の内部や根の先に近い部分の封鎖・保護を考える場面で用いられる材料の一つです。
すべての症例に使うわけではありませんが、歯を残す方向で検討する際に選択肢となることがあります。
実際に適応となるかどうかは、歯の壊れ方や感染の状態、残せる見込みを確認したうえで判断します。
Q4. ファイバーコアはどんなときに使いますか?
ファイバーコアは、被せ物の土台を作る方法の一つです。
歯の状態や力のかかり方を見ながら、金属の土台がよい場合もあれば、ファイバーコアが適している場合もあります。
大切なのは材料名だけでなく、その歯に合った設計になっているかどうかです。
Q5. ジルコニアクラウンを連結して作ることはありますか?
あります。
ただし、いつも連結冠にするわけではありません。
通常は単独で作ることを優先する場面も多いですが、何度も脱離している、負担が大きい、短期間で安定性を高めたいなど、条件によっては連結して設計することがあります。
どの方法がよいかは、歯の状態と噛み合わせを見ながら決めます。
Q6. 歯ぎしりが強いと、被せ物は外れやすくなりますか?
はい、外れやすくなったり、欠けたり、穴があいたりすることがあります。
特に、過去に大きく治療されている歯では、歯ぎしりや食いしばりの影響を受けやすくなります。
そのため、被せ物だけを作り直すのではなく、噛み合わせや力のコントロールも含めて考えることが重要です。
Q7. どのような場合は抜歯が必要になりますか?
歯の破折が大きい場合、感染や炎症が強く保存が難しい場合、歯を支える組織の状態が厳しい場合などは、抜歯が適切と判断されることがあります。
無理に残しても短期間で再発を繰り返すことがあるため、残すこと自体が目的にならないよう注意が必要です。
残せるかどうかは、現在の状態を丁寧に診査して判断します。
Q8. 海外赴任や長期出張の前に、外れにくい状態にしたいのですが相談できますか?
はい、そのようなご相談はあります。
海外滞在中に被せ物が外れると対応が難しくなることがあるため、治療期間、再脱離のリスク、応急処置の必要性まで含めて計画を立てることが大切です。
限られた期間でも、できる範囲で安定性を高める方法を検討します。
参考文献 日本歯内療法学会
参考文献 日本補綴学会ガイドライン
参考文献 日本歯周病学会
ご相談だけでも構いませんので、アポイントはこちら
「とりあえず今の状態を診てほしい」というご相談も承っております。
お口全体の健康と美しさを、ハイレベルな技術でトータルコーディネートします。
治療の途中放置や、お口全体の悩み。まずは相談であなたの「これから」のストーリーを一緒に考えましょう。
ジルコニアを検討中の方は
前歯をキレイにしたい・歯並びを整えたい方へ|できること・できないこと総まとめ
自由診療の保証規定 自由診療は規定に基づき5年間の保証を設定
きれいにしたい 転院など お困りごとのある方
北村歯科/鶴見 自由診療のジルコニア関係 費用は安価です
自由診療費用 税別
●ジルコニアクラウン前歯 38,000円x本数
●ジルコニアクラウン奥歯 32,000円×本数
その他 この2項目だけ必要なことがあります。
●自由診療除去費用 5,000円×本数
●ファイバーコア 10,000円×本数
受診前に大まかな相談をしたい場合は、
ご利用いただくこともできます。
鶴見駅東口階段降りたら目の前 徒歩30秒
丁寧な検査、歯周基本治療、必要に応じた外科処置、
定期メンテナンスまで一貫して行い、できる限り歯を残す方針です。
北村歯科
この記事の執筆・監修: 北村秀紀(歯科医師/横浜市鶴見区 北村歯科)
前へ:« e.maxをおすすめしない例|ジルコニアとの使い分けを歯科医が解説|鶴見駅 北村歯科
次へ:転院に関して 転院難民の駆け込み寺 お困りの方 鶴見駅の歯医者|北村歯科 »





