【2026年1月23日 1:01 PM更新】
概要
JR鶴見駅東口の階段を降りてすぐ、徒歩30秒の北村歯科です
激しい歯ぎしりがある方で
インビサラインでの矯正後
矯正終了後に下顎奥歯の破損が主訴で来院
CAD/CAM冠をジルコニアで修復
その後、もっとキレイになりたいとの
ご希望がありました。
本来なら過蓋咬合も矯正で修復可能ですが
今回の場合には過蓋咬合の修正はなかったのだと
判断されます。
ぺージ制作中
歯ぎしりで過蓋咬合 インビサラインで矯正後に来院 すり減った歯を復元
これで歯列矯正は終わり だそうですが・・・インビサは過蓋咬合に対応可能
過蓋咬合ですが・・・
治療した矯正歯科医が
歯ぎしり過蓋咬合を対応すればよかったと思うが・・・
ご本人が当院でご希望された処置は終わっています。
処置後に新たなご要望がありました。
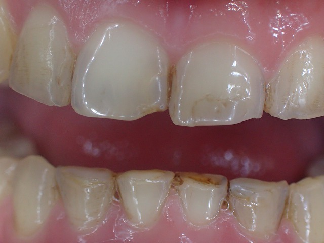
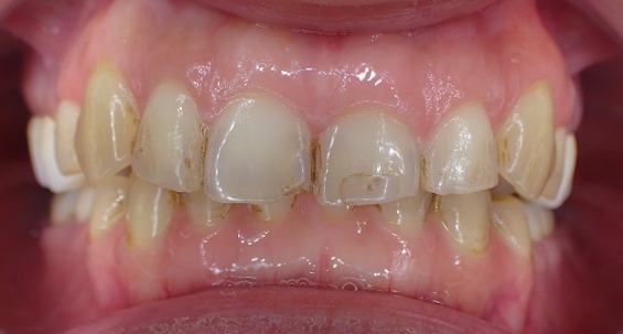
歯ぎしりでバリバリになった前歯を
キレイにしたいというご希望です。

上顎の前歯
激しい歯ぎしりの跡があります。

下顎の前歯 切端にレジン充填はおすすめではない
やっていいけない、
切端部分のレジン充填がしてあります。
現在、保定装置として
マウスピースがをしているので
先端は崩壊がゆっくりです。
レジン充填が崩壊の引き金になります。

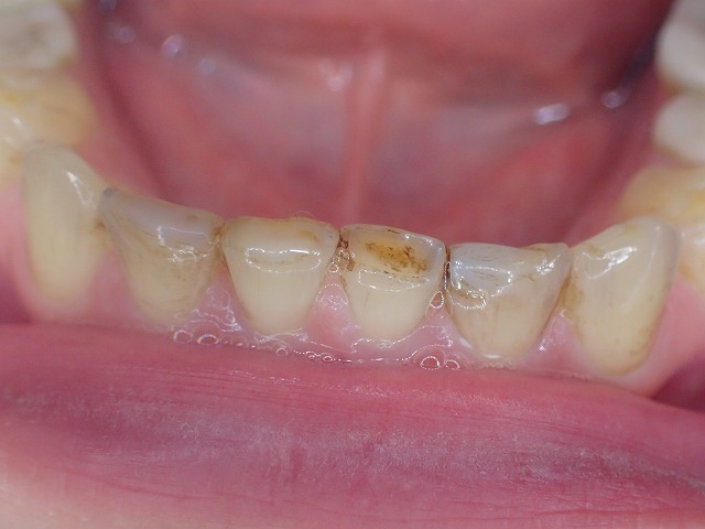
歯ぎしりによる歯列の傾き
歯列が左右の大きな傾きもあります。

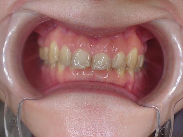
この状態から、咬合挙上(バイトアップ)して綺麗な前歯を制作開始
この方の北村歯科でのこれまでの治療
咬合挙上のために上顎両側の奥歯にジルコニア 細かな審査と計画が大切です
咬合挙上(バイトアップ)のためのジルコニアは慎重な審査
咬合の中心点と思われる部位から
編み合わせを上げるためのジルコニアを制作

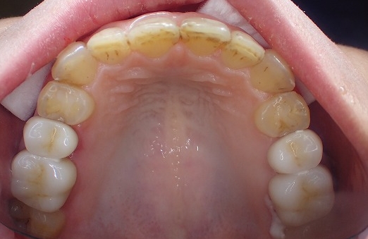
歯ぎしりでの歯の崩壊を模型で検討 上顎

下顎

模型での上下関係の考察
過蓋咬合の様子

咬合挙上

横か考察
咬合挙上前

ジルコニアによる咬合挙上

治療開始 再スタート
この後患者さん都合で3週間間ががいていますが。。。
続く——-」
咬合挙上 バイトアップ開始 途中からの計画変更はやらないほうがいい
まずはジルコニア左右で2本づつ
下顎の前歯から製作するので、
本来なら下顎の4本から開始するところですが
すでに下顎は壊れたCAD/CAM冠をジルコニアにしてあるので
作ったジルコニアを作り直すのは無駄使いと考え
上顎から咬合挙上しました。

咬合挙上 バイトアップの状態
正面

右側
すり減った歯を復元する
スペースができました。

左側
同様に復元スペースを確保できました

この後、一気に下顎の前歯 小臼歯を制作したいのですが・・
月末しか来れないので・・・・
このまま時間が経過すると、個々の歯が動き出し
上下が咬み合うようになる可能性があるので
可能ならば、短期間で治療をするべきだと思います。
続く・・・・
ご相談だけでも構いませんので、アポイントはこちら
「とりあえず今の状態を診てほしい」というご相談も承っております。
お口全体の健康と美しさを、ハイレベルな技術でトータルコーディネートします。
治療の途中放置や、お口全体の悩み。まずは相談であなたの「これから」のストーリーを一緒に考えましょう。
ジルコニアを検討中の方は
ジルコニア治療を検討中の方へ|鶴見・北村歯科の総まとめガイド | 横浜市鶴見区の北村歯科
前歯をキレイにしたい・歯並びを整えたい方へ|できること・できないこと総まとめ
審美歯科・ジルコニア治療の総まとめガイド|鶴見 北村歯科 | 横浜市鶴見区の北村歯科
審美歯科を検討中の方へ FAQ 50問|鶴見 北村歯科 | 横浜市鶴見区の北村歯科
ジルコニア・セラミック治療 FAQ 50問 北村歯科 / 鶴見 | 横浜市鶴見区の北村歯科
きれいにしたい 転院など お困りごとのある方
仮歯・転院・途中放置でお困りの方へ|鶴見 北村歯科の総まとめ解説
北村歯科/鶴見 自由診療のジルコニア関係 費用は安価です
自由診療費用 税別
●ジルコニアクラウン前歯 38,000円x本数
●ジルコニアクラウン奥歯 32,000円×本数
その他 この2項目だけ必要なことがあります。
●自由診療除去費用 5,000円×本数
●ファイバーコア 10,000円×本数
受診前に大まかな相談をしたい場合は、
ご利用いただくこともできます。
丁寧な検査、歯周基本治療、必要に応じた外科処置、
定期メンテナンスまで一貫して行い、できる限り歯を残す方針です。
北村歯科
この記事の執筆・監修: 北村秀紀(歯科医師/横浜市鶴見区 北村歯科)
前へ:« 前歯をきれいにしたい 過蓋咬合の人 鶴見駅の歯医者|北村歯科
次へ:前歯をキレイに レジン充填の着色をジルコニアで修復 鶴見駅の歯医者|北村歯科 »





