【2025年10月20日 4:44 PM更新】
概要
最近はあれれ!! と頭をかしげるような
転院の患者さんが来院します。
どんな仕事も商売なので、やむおえないことも
多いのですが、最近の歯科事情を反映していると思います。
この症例も解決すべき問題はかなりあります。
制作中
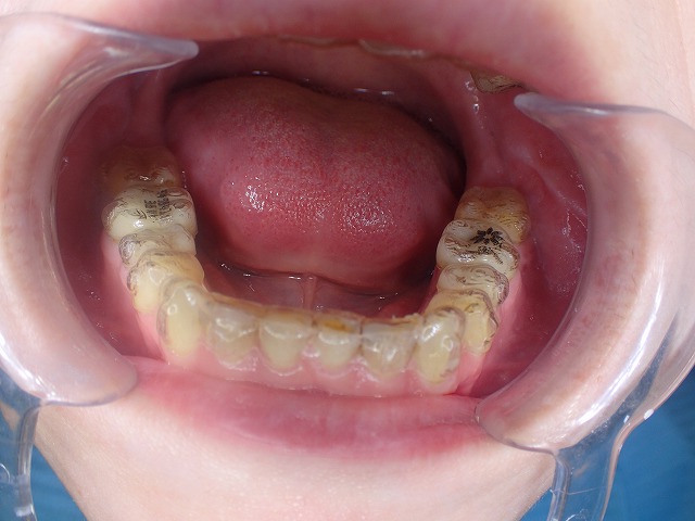
インビサライン アライナー矯正終了後 崩れたプラスチック冠をジルコニアに
歯列矯正の保定中 維持装置(アライナー)が入っている時のジルコニアクラウン
慎重に術前審査をしながら計画を立てます。
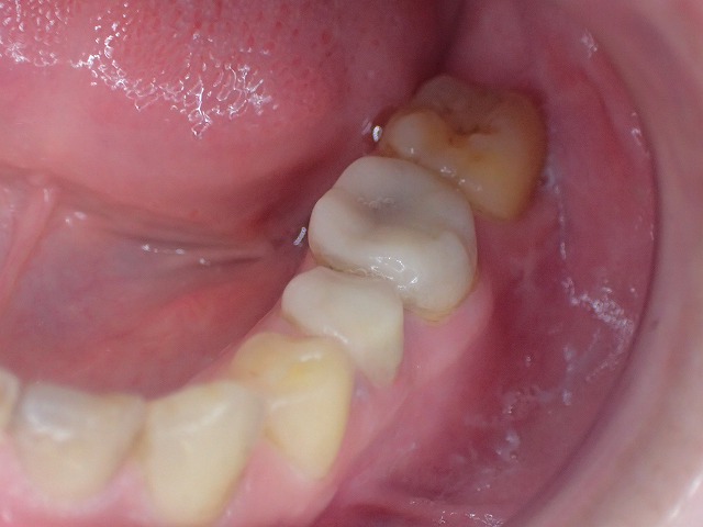
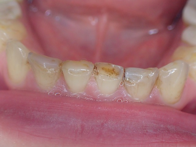
まずは下顎から診査
インビサラインのマウスピースが入っています。
この状態で奥歯をジルコニアに交換するのは
難題です。
かぶせ物を交換した場合には
この維持装置が使えなくなる場合があるので
維持装置を作り直す必要の可能性があります。

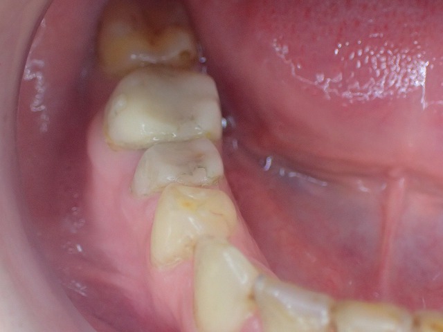
左下
プラスチック冠 おそらくcad/cam冠
かもしれません。
歯と歯はお互いに接触しなくてはなりません。
「コンタクト」と言って歯科では重要視される
状態で、適切なコンタクトが歯周病や虫歯、
咬み合わせなどに関与しています。

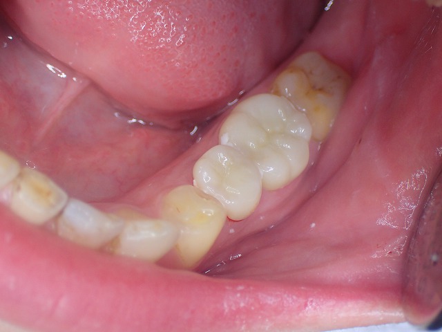
右下
同じくコンタクトしていません。
cad/cam冠はすぐに減るので
お口の中を大切に思いう人は、入れないほうが
良いと思います。

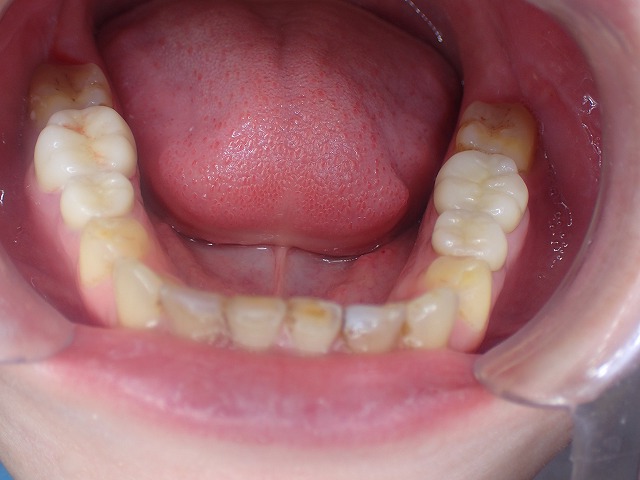
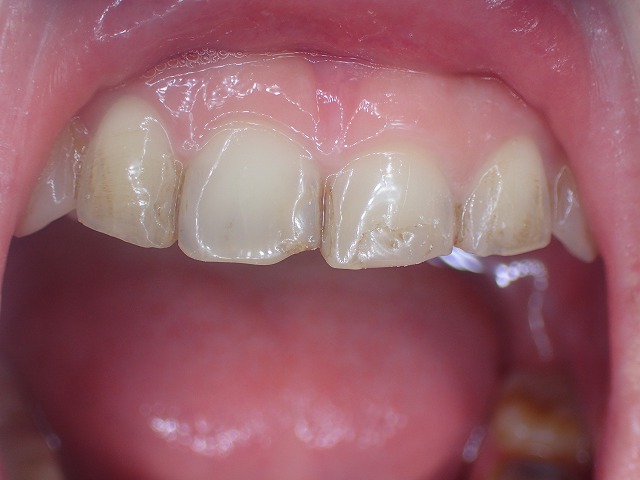
咬み合わせ診査
かなり深い過蓋咬合です。(咬み合わせが深い)
せっかく大金をかけて矯正したのだから
この点も対応してもらえばよかったのですが、
これはやむない事例かも。
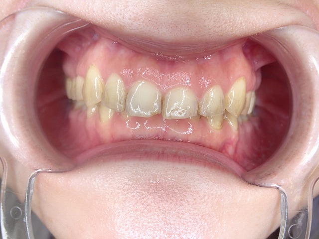
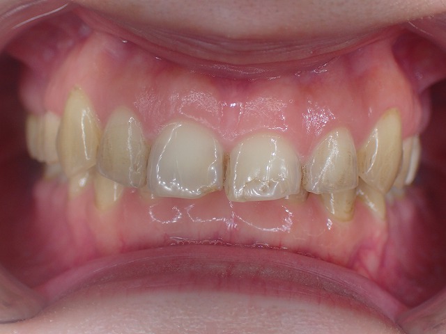
気になる点
●過蓋咬合
●重度の歯ぎしり
●左右不対象
●前歯の摩耗部分にレジン充填

かなりの歯ぎしりで、前歯がバリバリに削れています。
左右不対象が気がかりです。
今後も歯ぎしりを続けるでしょうから
このまま崩れてゆくリスクが高いと思われます。

下顎の前歯にレジン充填
このWEBでも再三指摘していることですが
歯ぎしりですり減った前歯の先端に
レジン充填をすると減りが加速します。
矯正のマウスピースをしているので
減りは少ないのですが、マウスピースなしでは
あっという間に吹き飛ぶリスクがあります。

これが保定装置??なのか?? リテーナーにアタッチメント
アタッチメントは矯正途中につけるもの、矯正が終われば除去
マウスピースと、歯がきちんと適合していません。
マウスピースに凸状の形になった空間がありますが
これは、アライナーで歯を動かすために歯の表面に
「アタッチメント」を作ることがあります。
アタッチメントの跡があるということは
矯正中のアライねーでは?という疑問が残ります。

人工知能に聞い見ました。
これは想像ですが・・・
これはリテーナーではなくて、矯正途中のアライんだーだと
もしもそうならば、矯正途中に戻れ・・・ということです。
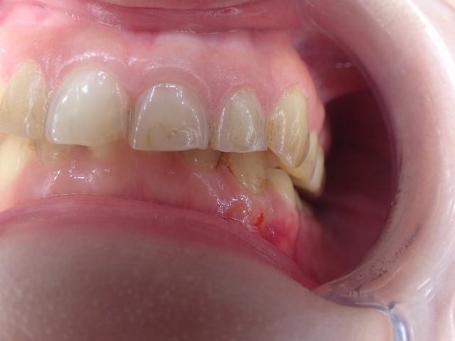
左側のcad/cam冠をジルコニアクラウンに交換
激しい歯ぎしりでCAD/CAM冠が
大きく摩耗しています。
そのため歯と歯の間に隙間ができています。

ジルコニアクラウンに交換

左側のCAD/CAM冠を除去してジルコニアを制作
cad/cam冠などのプラスチック関係の
かぶせ物は、歯肉に炎症を起こす場合がほとんどです。


両側の摩耗したCAD/CAM冠を
ジルコニアクラウンに交換できました。

続く
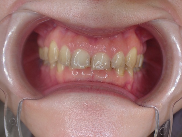
矯正後 過蓋咬合と歯ぎしり もう少し矯正で補正してくれれば
過蓋咬合も歯列矯正で補正できたはず 決して失敗ではないが
過蓋咬合ですので、下の歯に上の歯がかぶさり
下の歯が見えません。
インビサラインでは過蓋咬合(オーバーバイト)
に対応しています。

歯ぎしりに関する考察
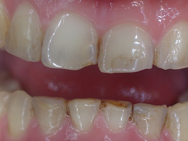
下顎前歯の先端は歯ぎしりで大きく摩耗している
●歯の長さ40%が失われている
●先端がレジン充填されている–やらないほうがいい治療
●レジン充填で歯の切端を充填すると、
咬合圧力で吹き飛ぶリスクが高い
(この症例ではリテイナーが入っているので先端は割れにくい)

上顎前歯
激しく摩耗している
顎の動きで左右非対称に摩耗しているの

過蓋咬合なので上顎前歯の内側の摩耗が激しい


歯並びが左右非対称

ここまで治療して終わりかった思ったが・・
初診時の患者さんの主訴には対応したが・・・
続く
過蓋咬合を修正して、お口の中すべてをやり直し
キレイにすることをご希望なさいましたので
続けて治療をすることになりました。
北村歯科/鶴見 自由診療のジルコニア関係 費用は安価です
この症例では自由診負担は
●奥歯左右5本をジルコニアに
奥歯4本のご負担です。
自由診療費用 税別
●ジルコニアクラウン前歯 38,000円x本数
●ジルコニアクラウン奥歯 32,000円×本数
その他 この2項目だけ必要なことがあります。
●自由診療除去費用 5,000円×本数
●ファイバーコア 10,000円×本数
ジルコニア治療を検討中の方へ|鶴見・北村歯科の総まとめガイド | 横浜市鶴見区の北村歯科
北村 秀紀が開発した、クリスタルブライトニング
北村 秀紀主宰しているクリスタルブライトニングセミナー
ホワイトニングセミナー|【公式HP】クリスタルブライトニング(最新ホワイトニング・歯科・歯医者・デンタルクリニック)
前へ:« 転院 これは地獄?拷問??? 転院される人の状況がひどすぎる 鶴見駅の歯医者|北村歯科
次へ:仮歯で虫歯 仮歯で歯周病 仮歯で痛い 仮歯で根管治療に 鶴見駅の歯医者|北村歯科 »





