【2025年10月15日 1:37 AM更新】
概要
ジルコニアボンドクラウンが外れた場合は、ただ付け直すだけでなく、
なぜ外れたのか、現在の歯や根の状態に問題がないかを確認することが大切です。
見た目が気になる場合でも、再装着の可否、形態の調整、
かみ合わせとのバランスを見ながら慎重に判断する必要があります。
このページでは、外れたジルコニアボンドを再装着し、
形態修正と研磨によって見た目を整えた症例をもとに考え方を説明します。
歯は長い時間で位置が動くことがあります。
当方で制作したものではありませんが
再装着時にリフレッシュしてきれいにしました。
何おごともちょっとした気遣いが大切だと考えます
このページの結論
ジルコニアボンドが外れた場合は、単に再装着するだけでなく、外れた原因や土台の状態を確認することが大切です。必要に応じて形態修正や研磨を行うことで、見た目の調和を整えられることがあります。また、失活歯や歯周病の管理も含めて、継続的に経過を見ることが重要です。
ジルコニアボンドクラウンが外れた かぶせ物が外れた原因を考える
来院の際には、歯周病処置も合わせて リピートの患者さん
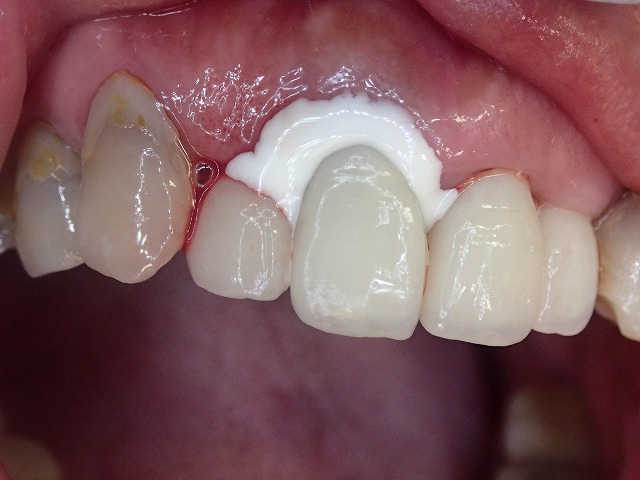
他院で制作したジルコボンドクラウンが
脱離したと来院されました。
20年以上も前の政策とのこと。
ややピンボケですがしっかりとした土台(コア)
が入っています。

透明度の高いジルコニアボンドクラウン。
透明度が高いので写真がピンボケ

外れたジルコボンドクランをセメント合着
当方の美観からするとちょっとねえ。。。

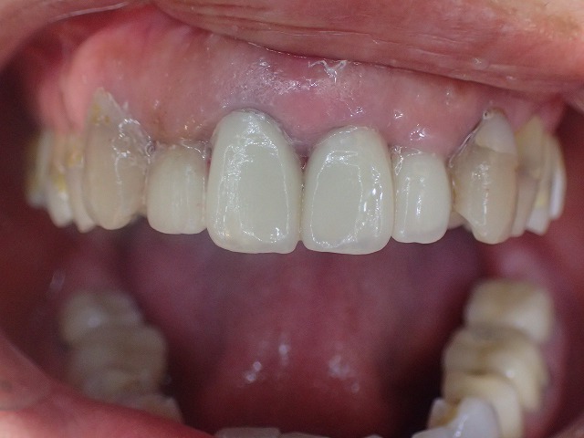
患者さんから20年以上前に
制作したものだとお聞きしました。
製作時は歯の先端はきちんと
左右対処であったのだと思います。
神経のない歯 すなわち失活歯は、
歯根の先端に感染病巣がある場合が多く
わずかな病巣でも、自己免疫反応で
歯が浮き上がってくる場合があります。
この事例も同じだと考えられます。

このままでは気分がよくないので、綺麗にしてあげよう。
第一段階 まだまだ・・・・

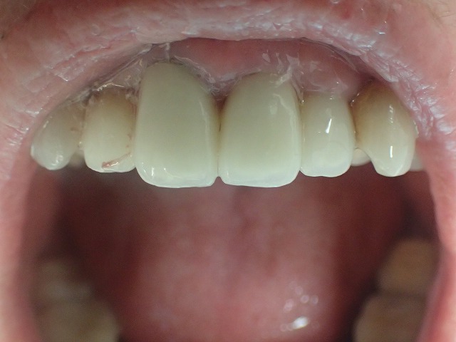
顔面に対して水平垂直も位置決めをして
左右対称に形態修正後、磨きをかけました。
よいものは長持ちです。
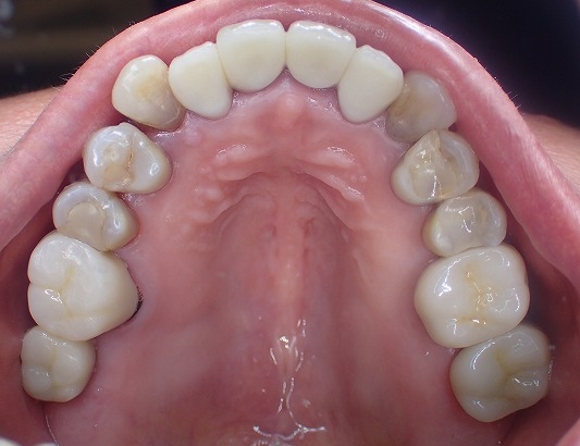
20年以上前の補綴物ですが綺麗になりました。
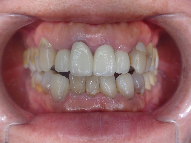
この方の場合は歯周病処置も含めて
定期的にお手入れすることがおすすめです。

外れたジルコニアボンドクラウン 翌週には予防処置をしてキレイに 歯周病基本処置
歯もキレイに 歯肉もいい状態に

続く・・・・・
レジン充填が崩壊 その後、奥歯が崩れてきたので、ジルコニアクラウン
強度もあり、アレルギーもなし美しく信頼の材料
レジン充填が崩れてきました。

レジン充填が何度もされており
このままでは大きく崩れるリスクがあります。

大きい奥歯(大臼歯)には
レジン充填やキャドカム冠は
なるべくやらないほうが無難です。
強度不足なので、崩れて虫歯になったり
摩耗したりと短寿命です。

ジルコニアクラン制作

大臼歯のジルコニアクラウン装着

ジルコニア治療を検討中の方へ|鶴見・北村歯科の総まとめガイド | 横浜市鶴見区の北村歯科
よくある質問
Q. ジルコニアボンドクラウンが外れたら、すぐに付け直せますか?
A. 状態によっては再装着できることがありますが、まずは外れた原因や歯の状態を確認することが大切です。土台や根の状態に問題がある場合は、付け直すだけでは十分でないことがあります。
Q. 外れたクラウンはそのまま再利用できますか?
A. 再利用できる場合もありますが、適合状態や破損の有無を確認する必要があります。問題がなければ再装着を検討できますが、状態によっては再製作が必要になることもあります。
Q. クラウンの形を少し整えて見た目を改善することはできますか?
A. 場合によっては可能です。再装着時に形態修正や研磨を行うことで、左右のバランスや見た目の印象を整えられることがあります。
Q. 失活歯に入っているクラウンが外れた場合、何に注意しますか?
A. 失活歯では、歯そのものだけでなく根の先の状態も確認することが大切です。見た目に問題が少なくても、内部で別の問題が進んでいることがあります。
Q. 見た目がきれいになっても、その後のお手入れは必要ですか?
A. はい、必要です。補綴物の状態を長く保つためには、歯周病の管理や定期的なお手入れを継続することが重要です。
Q. ジルコニアボンドが外れる原因にはどのようなものがありますか?
A. 接着の問題、土台の状態、かみ合わせ、歯や根の状態など、いくつかの要因が関係することがあります。外れたときは原因を考えながら対応することが大切です。
ご相談だけでも構いませんので、アポイントはこちら
「とりあえず今の状態を診てほしい」というご相談も承っております。
お口全体の健康と美しさを、ハイレベルな技術でトータルコーディネートします。
治療の途中放置や、お口全体の悩み。まずは相談であなたの「これから」のストーリーを一緒に考えましょう。
きれいにしたい 転院など お困りごとのある方
北村歯科/鶴見 自由診療のジルコニア関係 費用は安価です
自由診療費用 税別
●ジルコニアクラウン前歯 38,000円x本数
●ジルコニアクラウン奥歯 32,000円×本数
その他 この2項目だけ必要なことがあります。
●自由診療除去費用 5,000円×本数
●ファイバーコア 10,000円×本数
受診前に大まかな相談をしたい場合は、
ご利用いただくこともできます。
鶴見駅東口階段降りたら目の前 徒歩30秒
丁寧な検査、歯周基本治療、必要に応じた外科処置、
定期メンテナンスまで一貫して行い、できる限り歯を残す方針です。
北村歯科
この記事の執筆・監修: 北村秀紀(歯科医師/横浜市鶴見区 北村歯科)
(2026年4月6日 12:49:08)
前へ:« 歯の神経を残すか取るか|歯の寿命を左右する考え方| 鶴見駅の歯医者
次へ:転院時の強い痛み・露髄・根管治療の判断について|鶴見駅の歯医者 北村歯科 »





