【2025年1月18日 1:12 AM更新】
歯科医院で症状がないのに、
「この歯はダメだから抜いてインプラント」
「虫歯が**本あるので、全部セラミックにしないと
真が持ちしません」
などと言われ、高額な治療見積もりが出た!
と多くの方が来院します。
咬み合わせの修正や白い歯への交換をすすめられても、
すぐに修復物を外す前に、
本当に必要な治療かを慎重に確認することが大切です。
修復物を多数削られて仮歯のまま来院する方が
もっとも多い転院事例です。
修復物を外して仮歯のまま長く放置すると、
歯ぐきの炎症や咬み合わせの崩れが起こり、
復元が難しくなることがあります。
このページでは、仮歯のまま放置された状態から、
ジルコニアセラミックブリッジで咬み合わせの基準点を作った症例を紹介します。
このページでお伝えしたい結論
咬み合わせ修正を理由に修復物を外され、仮歯のまま放置されたことで炎症・歯列のゆがみ・咬み合わせの崩れが起きた転院症例
このページは咬み合わせの修正を理由に修復物を外され、仮歯のまま放置されたことで、炎症と咬み合わせの崩れが起きた転院相談の症例です。
診査では、仮歯の破損、歯ぐきの炎症、歯列のゆがみが確認され、まずジルコニアセラミックブリッジで咬み合わせの基準点を作りました。
修復物を外す治療は、元に戻す方がはるかに難しいため、治療前に必要性・費用・治療期間を慎重に確認することが大切です。
歯科医院を受診した時に慎重に考える事柄
●咬み合わせがおかしいから
●銀より白くした方がいいから
●レントゲンを見て、この歯は抜かなくてはダメだ!
●レントゲンを見て、詰め物がダメだだから、治療しなくてはダメだ
などと言われたら、慎重に考えたほいうが
良いかもしれません。
世の中すべてがセールスであり、
収入目的で必要以上に治療医する
過剰診療の可能性が多いようです。
こういった事例で、駆け込み寺のように
泣きこまれることは通常の出来事と感じるようになりました。
セールスのために過剰診療で
修復物を除去して仮歯にすれば
何かを作らなければならないので
患者さんは逃げられません。
除去して仮歯にしたのち金額を提示されて
「高額なので驚いて逃げてきた」というのがほとんどです。
営業目的で過剰に手を出した場合には
修復がかなり困難になります。
仮歯放置は見るからに悲惨な状況です。
このパターンがいちばん多い転院です。
下記の記事をご参考に。
咬み合わせが悪いからと、修復物を除去して作り直しことを歯科医院で提案された
仮歯にしたけど金額が高いので、そのまま放置 こんなことをしなければ普通に生活できた
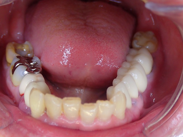
初診時画像
片側の仮歯はなし
クレージーな仮歯が入っています。
奥歯の修復物をすべて除去されて
仮歯にしたようですが
本当に咬み合わせが悪く、それを修正する場合には
このようなことをしません。
おそらく、金銭欲しさにこのようなことをしたのでしょう。
修復物を除去して仮歯にしてしまうと
患者さんは治療からは逃げられません。
除去されてから、治療金額を提示されて
泣きこまれることは日常の出来事です。
初診時 すでに復元が難しい状態まで、破壊されています。
これ仮歯??・

クレージーな仮歯
これが原因となり激しい炎症が起こります。

上の歯はほとんどが仮歯
子の本数で150~200万の
金額を提示されることが多いようです。
何気なく受診した歯科医院で
突然の金額を提示されます。
すでに普通の歯科医院では復元困難なレベルです。
何ら不自由していなかった状態かから
蟻地獄に落とされます。
あたりまでですが、
壊すより 復元する方がはるかに手間がかかります。

治療開始 仮歯のない上顎右側からジルコニアセラミックブリッジ制作
基準点を作るために、ブリッジの制作
こちら側は下の歯と噛んでいるので
仮歯が破壊されたのでしょう。
反対側のつぶれた団子は下とはきちんと咬んでいません。

上下のかみ合わせを作る
これを上下の基準点として設定

ジルコニアセラミックブリッジ装着
他の部分が仮歯ですが
どう見ても・・悲惨な状況です。

基準点をもとに歯を作り かみ合わせを作り 顔面を作る
左右の犬歯に位置を基準にして
観察すると、顔面に対して、お口の中は
大きくゆがんでいます。

基準点が出来たら 仮歯を外してゆく 仮歯を外すとひどい炎症
ブリッジが入ったところで仮歯を除去すると
予想通りに激しい炎症
すぐにジルコニアクラウンの制作は
できない状痛いです。
歯列がやや内側にあるので
やや外側に位置を変更してジルコニアクランを
制作予定です。

その後、下顎の修復物を除去して
外装に配列して、ジルコニアクランを制作予定です。

下顎右側ブリッジは、転院前の歯科医院で高額だったために
そのままにしたいということで、
咬み合わせ補正や顔面補正は中止して
ただ単にブリッジを制作することに
方向転換しました。
下顎の歯列を補正しないと、
上顎の歯列は位置の補正ができません。
歯を除去して仮歯にした理由もわかりませんが
このまま制作してもあまりよい歯列になりません

年が明けて。。。
やっぱやめた!と気が変わり方向転換 今までの診査・治療が生かせない
このブリッジは、「作ったあとに倒れていった」と転院前の歯科医院で言われたので
それが本当なら、今頃完全に倒れて終わっているはずです。
多くの記事にあるとおりに
●歯医者の言うことは信じるな
●転院前に言われてことを、神の言葉のごとく信じている場合には
それが治療の障害となる。
で。。。技工物完成
下のブリッジが極端に内側にあるので
ギリギリの配列となりました。
本来ならこの部分は下のブリッジを制作して
位置の補正をしてから製作予定でした。
下顎のブリッジをきちんとした位置に作り直さないので
きちんとした上下の咬み合わせが作れません。
(高額なブリッジなので作り直しをためらった)

下顎のブリッジを制作してあったが、仮歯にもなっていない
こんな仮歯を作ったのですが・・・
研究模型を作って診査しての計画です。
クレージーな仮歯です。

ブリッジが内側に倒れている これを起こさないと上下が咬みません 残念
困った位置に制作されていることは
わからないと思います。
やっぱやめた!の原因は、
このブリッジかなりの高額だったとのこと。
このお口、いったいいくら?
だったんでしょう。

患者さんの言うがままに治療をすると 人間ではなくなるかも?
初診時にお渡ししている 医院からのお願い でお願いしていることです
アドバイスを聞き入れてくれたら・・・
こんな風なアンバランスな咬み合わせに
ならなかった--残念!

この後、これをどう補正するか?
やや困難になりました。
人為的に作られた、不整の可能性大です。
最初に奥歯の位置関係を更正することが
きわめて大切です。
まだ前歯の仮歯を外していませんが
かなりの炎症と破壊があることは
外観からよくわかります。

この後、前歯の修復でご来院されています。
続く……
この後、数か月後前歯を作りたいと来院
この症例では自由診負担は
●ジルコニアクラウン奥歯7本
のご負担です。
自由診療費用 税別
●ジルコニアクラウン前歯 38,000円x本数
●ジルコニアクラウン奥歯 32,000円×本数
その他 この2項目だけ必要なことがあります。
●自由診療除去費用 5,000円×本数
●ファイバーコア 10,000円×本数
仮歯放置や転院でお困りの方へ
|
仮歯のまま放置して悪化したケース、途中で歯科医院を変えた転院症例、治療中断からのリカバリー症例などを、写真付きで解説したページです。どこまで元に戻せるか、現実的な限界を含めて説明しています。 |
ご相談だけでも構いませんので、アポイントはこちら
「とりあえず今の状態を診てほしい」というご相談も承っております。
お口全体の健康と美しさを、ハイレベルな技術でトータルコーディネートします。
治療の途中放置や、お口全体の悩み。まずは相談であなたの「これから」のストーリーを一緒に考えましょう。
きれいにしたい 転院など お困りごとのある方
受診前に大まかな相談をしたい場合は、
ご利用いただくこともできます。
鶴見駅東口階段降りたら目の前 徒歩30秒
丁寧な検査、歯周基本治療、必要に応じた外科処置、
定期メンテナンスまで一貫して行い、できる限り歯を残す方針です。
北村歯科
この記事の執筆・監修: 北村秀紀(歯科医師/横浜市鶴見区 北村歯科)
前へ:« 転院 定期的に歯医者にいくが、いきなり抜かれた 歯科医の提案は慎重に考える
次へ:年末ダッシュ 続き ものわかりのいいひと 速攻でジルコニアブリッジ制作 »





