【2025年3月27日 11:18 AM更新】
概要
CAD/CAM冠 キャドカム冠は材質的な問題で
普及するにつれてトラブルが増えてくると想定されます。
問題点を羅列すると
1.強度の問題で破折する
2.樹脂であるので、時間が経過すると歪みが出てくる。
3.肉厚が確保できなし生活歯(神経の残っている歯)は
歪みやすいので、破折や脱離のリスクが高い
4.失活歯(神経のない歯)では厚みは確保できるが
長期間の使用で、摩耗と着色 変色の問題が出てくる
5.歯ぎしりの習癖のある方には適応を考えなければならない
6.お口の中に多数のキャドカム冠があると
摩耗などに対するストッパ-がないために、積み木崩しのように
破損、脱離する可能性が考えられる。
7.メタルコア(金属の土台)の上に
キャドカム冠を制作した場合には、脱離、破損が
多いように思われる。金属の土台には
CAD/CAM冠はなるべく避けたほうが良いでしょう。
ということで、海外ではこのような材料で長期間に耐える修復行われておらす
短期間の仮歯として使われているようです。
プラスチックをつなぎにセラミックの粉をかなりの割合で
固めたものであるので、セラミックではなく
プラスチック レジンに近い素性のものと考えられます。
このページでお伝えしたい結論
このページは、CAD/CAM冠が破損して来院された症例です。
CAD/CAM冠は、材質の特性により摩耗・破損・変形が起こることがあります。
実際に冠を外して確認すると、内部の変色や虫歯が見つかる場合もあります。
この症例では、土台になっている歯を処置したうえで、
ジルコニアクラウンにより修復しました。
CAD/CAM冠は保険診療で選択できる白い被せ物ですが、
噛む力が強い方や歯ぎしりがある方では、耐久性に注意が必要です。
長期的な強度や安定性を重視する場合は、
自由診療のジルコニアクラウンも選択肢になります。
割れた 外れた トラブルの多いcad/cam冠 内部が黒く変色する
材質が柔らかいので、ひずんたため細菌が入り込み、内部が腐食しています
材質の問題で歪みが出るので
内部に菌が侵入してバイオフィルを形成して
それが黒く着色しています。
プラスチックは水を吸収するので
表面に細菌が付着しやすく
それが増殖したためです。
時間につれて、CAD/CAM冠は内部が
黒くなってくるよです。

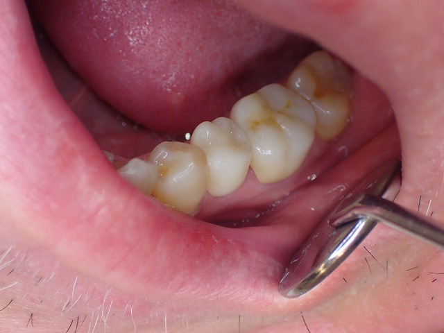
cad/cam冠の支台になっていた歯
神経があるのでキャドカム冠の肉厚を
厚くできないので、変形脱離破折を起こしやすいです。
神経の残っている歯にはCAD/CAM冠は
お勧めできません。

キャドカム冠のかぶっていた歯は虫歯になっているので
皮むきをしてキレイにします。
また修復物の肉厚をやや厚くして
強度アップのためです。
虫歯処置をしたのち、型取りをして制作に入ります。

キャドカム冠ではなくジルコニアセラミックをご希望
キャドカム冠はもう嫌なので
ジルコニアをご希望なさいました。
cad/cam冠とジルコニアは、
強度 精度 耐久性 寿命
すべての面で次元が違います。

ジルコニアセラミック装着
無事にジルコニアクラウンになりました。
これでCAD/CAM冠のトラブルからは
逃避できるでしょう。

この症例では自由診負担は
●奥歯1本をジルコニアクラウン
のご負担です。
自由診療費用 税別
●ジルコニアクラウン前歯 38,000円x本数
●ジルコニアクラウン奥歯 32,000円×本数
その他 この2項目だけ必要なことがあります。
●自由診療除去費用 5,000円×本数
●ファイバーコア 10,000円×本数
ジルコニア治療を検討中の方へ|鶴見・北村歯科の総まとめガイド | 横浜市鶴見区の北村歯科
「まず相談したい」という方もご予約いただけます。
現在の状態を確認したうえで、
必要な診療や今後の流れをご案内します。
ご予約はお電話またはWeb予約から承っています。
鶴見駅東口階段を下りたら目の前 徒歩30秒
北村歯科
前へ:« 事の重大性が理解できない人が多い、侵襲性歯周病について 治療はしぶとさが大切
次へ:普通の奥歯3本ブリッジが70万円以上の高額見積もりで転院|ジルコニアブリッジ治療 »





