【2025年7月25日 6:34 PM更新】
根管治療は、マイクロスコープやラバーダムがあれば必ずうまくいくものではありません。
この症例では、
転院後に根管内の感染や瘻孔が確認され、状態を見極めながら対応を進めました。
根管治療で大切なのは、
道具の有無よりも診断と手技、そして治療の考え方です。
ネットなどでは、根管治療の売り文句として
マイクロスコープ ラバーダム 等の用語がしばしば目にすると思いますが
本物の根管治療専門医は当たり前のように使用しているツールです。
しかしながら、それがあればすべてうまくゆく と誤解している
人が多いような気がします。
ラバーダムをして、マイクロスコープで覗いても
きちんとしたスキルがなけれまったく役にたちませんが
きちんとした主義があればきわめて有用なツールです。
ラバーダムをしてマイクロスコープを使う際には
身体の自由が利きませんので、
拘束されて、監禁された状態と想像できるかもしれません。
このページでお伝えしたい結論
- 根管治療は、マイクロスコープなどの道具だけで良し悪しが決まるわけではありません。
- 転院症例では、仮封や根管内の状態を実際に確認し、感染の有無を見極めることが重要です。
- 痛みや腫れの改善には、宣伝文句よりも適切な診断と確かな処置が大切です。
器具の使い分け
上手に使えるならば、ラバーダムは極めて有効であると思います。
また、マイクロスコープの使い分けとして
据え置き型と

ヘッドマウント型を使い分けています。

据え置き型は術者、患者さんともに
自由に動きが取れず、視線をずらすと
仕事が中断するという短所もあります。
マイクロスコープでないとダメだと転院して それもダメだと転院していた例
マイクロスコープは単なる大きな虫メガネ。虫メガネで何か良くなるか?
虫メガネで状況を何度も見ても
病気の状態は良くならないのは当たり前のことです。
しかし、ネット上では 「売り文句」で
「マイクロスコープ 高度な治療」という意味合いで
表現され、それをそのまま信じてしまう人が多いような気がします。
当方にももちろんマイクロスコープの準備はあるのですが
マイクロスコープは必要な時に使う道具と考えています。
マイクロがあれば、何でも治るわけではありません。
下記の症例は、一般の歯科医院で根管治療をしたのち
マイクロスコープでの治療をしないとだダメだと
盲芯して、マイクロスコープの自由診療の根管治療に行ったけど
痛くなった。。。と紹介でいらした患者さんです。
症例その1 根管治療途中で転院
一般的な口腔内カメラでの撮影です。
マイクロほどは倍率はありませんが
とても便利。
当院で10台以上用意してあり
あちらこちらにあります。
仮蓋の状態で転院

仮封を除去します。
二重仮封ですが、キャビトンとストッピングです。
自由診療をでの根管治療を施術している歯科医院では
このような仮封はしません。

開けてみると、根管内部には
ペーパーポイントで貼薬してありました。

一つの根管が感染していました。

根管口をラウンドバーで拡大明示したようです。
ここまではきちんとしたお仕事がしてあります。
最近の精密根管治療は
ゲーツファイルというもので根管明示しています。
手技的には細いファイルで根管を開けて
その後根管口を拡大してゆきます。
当方ではプログライダーと
プロテーパーSXを使用する場合が多いです。

翌日
炎症が収まってきましたが
瘻孔があるのが見えます。
瘻孔は歯根先端から感染した細菌が
顎骨内で暴れた結果 膿などの炎症物質が
病巣を作った際に、生体が膿などを排泄しようと
自己的に顎の骨の中から歯肉に作った
噴火口 排出口のようなものです。
炎症が収まってくると、カルデラのように
陥没する場合がしばしば見られます

翌々日
瘻孔の炎症が緩解してくると
腫れていて膨らんだ部分が締まってきます。
瘻孔が陥没してきます。

5日後
超音波を用いて削らないで
隔壁除去して不要なレジンを除去
自由診療のために無理やり隔壁を作ると
髄腔内の状態が把握しにくい。
ただし歯肉の下まで虫歯がある場合や
根管治療を円滑にする隔壁は
大いに推奨します。
自由診療をやるために
ニッケルチタンファイルで
本格的根管治療のための拡大を行う
初診時の画像と比較すると、
髄腔内は滑らかに処理されているのが分かります。
また適切な根管治療のための
根管拡大は基本です。
これを観ても、マイクロスコープ?
は必要か? 理解できると思います。
まだ小さな瘻孔痕跡があります。

7日後
瘻孔も消失して
明確な治療効果が分かります。
根管治療だけではないのですが
治療の目的は、幹部をキレイにして
細菌による感染炎症を緩解させることにあります。
良好な治療環境は円滑な曲線や
治療部位が滑らかになることが大切です。
髄腔内はきちんと処理したので
かなり滑らかになっています。
根管内もきちんとニッケルチタンファイルで拡大してあります。
プロテーパーF4 #40
この後もう少し根管治療を進めて
根管充填をします。

症例その2 前歯大きな瘻孔 フィステル サイナストラクトは根管治療で処置
昔はフィステル 根尖にできた病巣 と呼びましたが、最近ではサイナストラクトです。
サイナストラクトは、歯の根の先に膿が溜まることで発生する炎症が、歯茎にトンネル状の出口を作った状態を指します。この出口から膿が排出されるため、ニキビのような見た目になることがあります。
最近はこの程度の炎症で抜いて
インプラントやブリッジが必要と告知されることが多い
時間はかかるが根管治療をすることで
炎症が収束して再び修復物を作ることができる場合が
ほとんどですが、再発のリスクもあります。

根管治療をするにあたって、
修復物と土台のコアの除去をしなくてはなりません。
修復物切断(ジルコニア)
ジルコニア除去には時間が必要ですが
きちんとコアを作ってあれば根管治療可能です。

この後コアを除去します。

コアを除去すると
根管内から膿が吹きだして、噴火しました。

10日後 サイナストラクトは消失
しかし、根尖には病巣がまだあります。

一か月後 根管充填 コア作成
cad/cam冠制作
これほどの炎症を起こすと
再発のリスクもありますので
自由診療でお金をかけずに
健康保険で修復物を制作しました。
しかし最初のジルコニアのバランスが良くないので
院内で設計してもっと良い配列に修正しました。

バランスよくCAD/CAM冠を制作
再治療の際に除去して治療が必要ですが
キャドカム冠ならば除去が簡単なので
健康保険での製作となりました。

もしも、自由診療で他の部位も治療できるなら
咬み合わせの不良と歯並び
そして顔面の状態も修正可能です。
その際には左右の鼻孔の位置 形態
唇の左右差 顔面の左右一致
等も修正できると思います。
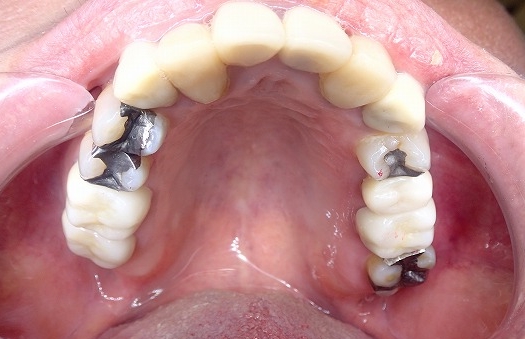
前歯の治療後 奥歯の銀歯を白くしたいとご希望
金属クラウンとジルコニアクラウンの比較
その後 銀歯も白くしたいとのご希望がありました

ジルコニアとの比較すると

両側の奥歯を銀歯からジルコニアに交換
通院期間が限られているので
期間内に可能な限り交換をしました。

奥の銀歯の見え方
奥歯の金歯は、他人からは笑顔の時に
光って見えます。

反対側の銀歯はこうみえる

この症例では自由診負担は
●修復物の除去費用 3本
●ジルコニアクラウン奥歯 3本
のご負担です。
おおよその目安として都内価格の1/5程度の
ご負担です。
自由診療費用 税別
●ジルコニアクラウン前歯 38,000円x本数
●ジルコニアクラウン奥歯 32,000円×本数
その他 この2項目だけ必要なことがあります。
●自由診療除去費用 5,000円×本数
●ファイバーコア 10,000円×本数
参考文献 日本歯内療法学会
https://jea-endo.or.jp/materials/guidelines.html
ご相談だけでも構いませんので、アポイントはこちら
「とりあえず今の状態を診てほしい」というご相談も承っております。
お口全体の健康と美しさを、ハイレベルな技術でトータルコーディネートします。
治療の途中放置や、お口全体の悩み。まずは相談であなたの「これから」のストーリーを一緒に考えましょう。
ジルコニアを検討中の方は
ジルコニア治療を検討中の方へ|鶴見・北村歯科の総まとめガイド | 横浜市鶴見区の北村歯科
前歯をキレイにしたい・歯並びを整えたい方へ|できること・できないこと総まとめ
審美歯科・ジルコニア治療の総まとめガイド|鶴見 北村歯科 | 横浜市鶴見区の北村歯科
自由診療の保証規定 自由診療は規定に基づき5年間の保証を設定
きれいにしたい 転院など お困りごとのある方
お困りごと解決ガイド|歯の悩み・トラブル別対応一覧|鶴見駅すぐのの歯医者|
仮歯・転院・途中放置でお困りの方へ|鶴見 北村歯科の総まとめ解説
北村歯科/鶴見 自由診療のジルコニア関係 費用は安価です
自由診療費用 税別
●ジルコニアクラウン前歯 38,000円x本数
●ジルコニアクラウン奥歯 32,000円×本数
その他 この2項目だけ必要なことがあります。
●自由診療除去費用 5,000円×本数
●ファイバーコア 10,000円×本数
受診前に大まかな相談をしたい場合は、
ご利用いただくこともできます。
鶴見駅東口階段降りたら目の前 徒歩30秒
丁寧な検査、歯周基本治療、必要に応じた外科処置、
定期メンテナンスまで一貫して行い、できる限り歯を残す方針です。
北村歯科
この記事の執筆・監修: 北村秀紀(歯科医師/横浜市鶴見区 北村歯科)
最終更新 2026年4月21日
前へ:« 25夏 壊れたメタルボンドすり減った前歯 本人は他人目線に気が付かない 鶴見駅の歯医者|北村歯科
次へ:転院 最近の転院患者さんは理解不能な処置をされている 鶴見駅の歯医者|北村歯科 »





