【2025年7月15日 2:54 PM更新】
概要
25夏の別人シリーズ
歯ぎしりが強い方では、ブリッジの破損だけでなく、
前歯の摩耗も同時に進んでいることがあります。
この症例では、壊れた金属ブリッジを修復しながら、
前歯のすり減りや将来的な破折リスクにも配慮しました。
見た目を整えるだけでなく、
これ以上歯を壊さないための対策まで考えることが大切です。
最初は健康保険の金属ブリッジの
プラスチック部分が壊れたことから
ジルコニアブリッジ制作から始まりました。
ひとたびジルコニアブリッジを経験すると
その質感、咬んだ感じ、美観など
すぐれた特性を経験することにより
順次交換をご希望なさる方も多く来院されます。
その他もすべてジルコニアにしたいとご希望なさって
可能な限りジルコニアに置き換えることになりました。
このページでお伝えしたい結論
- 歯ぎしりがあると、ブリッジの破損だけでなく前歯の摩耗や亀裂も進みやすくなります。
- 修復では、壊れた部分を治すだけでなく、かみ合わせと摩耗対策まで含めて考えることが重要です。
- 前歯の崩壊を防ぐには、奥歯を含めた全体のバランス
健康保険の金属ブリッジ 一部はプラスチックで目隠しできるが・・・・
プラスチックが破損して金属が露出 金属は腐食して黒く
健康保険のブリッジです。
金属ブリッジの外側だけ
マニュキアのように薄くプラスチックが
塗布してあるのが平均的な健康保険ブリッジです。
歯ぎしりによって金属ブリッジが摩耗することにより
ブラスチック部分が下顎の歯と接触すると
プラは吹き飛んでしまいます。

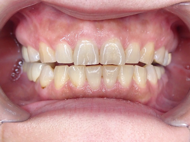
歯ぎしりによる前歯の摩耗
歯ぎしりによって、前歯は大きく摩耗して
象牙質が露出しています。
軟らかい象牙質が露出すると
ここから加速度的に歯が減ってゆきます。

前歯の摩耗 正面から
前歯の状態はそれほど悪くないので
奥歯を修復して、前歯の摩耗対策をします。

しかし、前歯には小亀裂が多く入っており
先端の黒い部分は歯が薄くなったために
このように見えます。
このままだと黒い部分が徐々に割れてくることが
予想されます。

銀歯のブリッジを白い歯に 奥歯を入れてから前歯を入れる大原則
ブリッジ除去

銀歯とジルコニアの白い歯との比較
技工物完成
銀歯と白いジルコニアブリッジの
比較です。

黒いマークは歯ぎしりで摩耗した前歯
ブリッジの配列もよくないが・・

金属ブリッジには大きく歯ぎしりの痕跡が
このメタルブリッジには、歯ぎしりのサインが
大きく刻ませています。
矢印で凹んだ部分は歯ぎしりで大きくえぐられています。
中心点ではなく凹み全体が歯ぎしり跡です。

丸いマークが金属が減った部分です。
金属が歯ぎしりによって溶けてゆくので
体に蓄積するリスクがあり。
金属+歯ぎしりで 金属アレルギーのリスクは高くなります。
金属アレルギーを発症すると
生活に大きな支障が出ます。

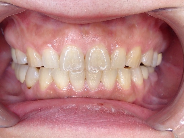
上顎 ジルコニアのブリッジ装着
ジルコニアブリッジが入ることで
歯ぎしりによる前歯の異常摩耗を予防できる
と考えます。

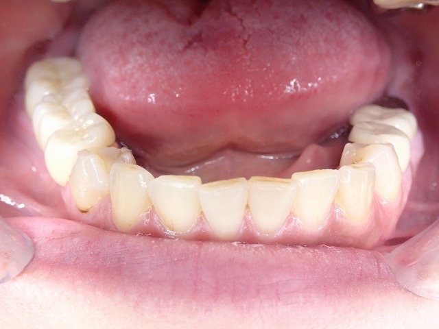
下顎のインレーブリッジ交換 インレーブリッジはかなりの頻度で虫歯に
インレーブリッジは、支台が虫歯に侵されるリスクが極めて高い
インレーブリッジが入っています。

インレーブリッジ拡大画像

インレーブリッジの支台はすぐに虫歯になる
予想通り除去すると支台は両側とも虫歯になっています。

除去したインレーブリッジは細菌の影響で腐食
金属は細菌いにょって腐食酸化しています。

続く
下顎ブリッジ完成

下顎ブリッジは無事に装着できました。

ジルコニアによる咬合挙上
上下のブリッジが入ることによ
上下のジルコニアブリッジを入れることによって
若干咬み合わせが上がります。
長い年月で短縮した上下関係を
復元することにより、歯ぎしりによる
歯の摩耗を防ぐことが期待できます。

2週間後 咬合挙上バイトアップ後
若干の調整することにより
時間とともに生理的な位置に歯が沈みます。
歯はフレキシブルに動きます

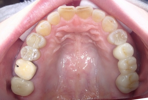
ジルコニアブリッジの反対側もジルコニアクラウンに
古いメタルボンドを除去開始

これからジルコニアクラウンを制作します。

続く
この症例では自由診負担は
●修復物の除去費用4本
●左側奥歯ブリッジ2個なのでブリッジに必要なジルコニア奥歯3×2本
のご負担です。
おおよその目安として都内価格の1/5程度の
ご負担です。
自由診療費用 価格 税別
●ジルコニアクラウン前歯 38,000円x本数
●ジルコニアクラウン奥歯 32,000円×本数
その他 この2項目だけ必要なことがあります。
●自由診療除去費用 5,000円×本数
●ファイバーコア 10,000円×本数
ジルコニア治療を検討中の方へ|鶴見・北村歯科の総まとめガイド
前歯をキレイにしたい・歯並びを整えたい方へ|できること・できないこと総まとめ
「まず相談したい」という方もご予約いただけます。
現在の状態を確認したうえで、
必要な診療や今後の流れをご案内します。
ご予約はお電話またはWeb予約から承っています。
鶴見駅東口階段を下りたら目の前 徒歩30秒
北村歯科
最終更新 2026年4月21日
前へ:« 25夏転院 多くの事例が高額治療を勧められて・・どう見てもキレイではない!
次へ:続き 前歯修復の放置 奥歯を修復してから前歯が大原則 »





