【2026年2月25日 4:40 PM更新】
概要
JR鶴見駅東口の階段を降りてすぐ、
徒歩30秒の北村歯科の院長が解説
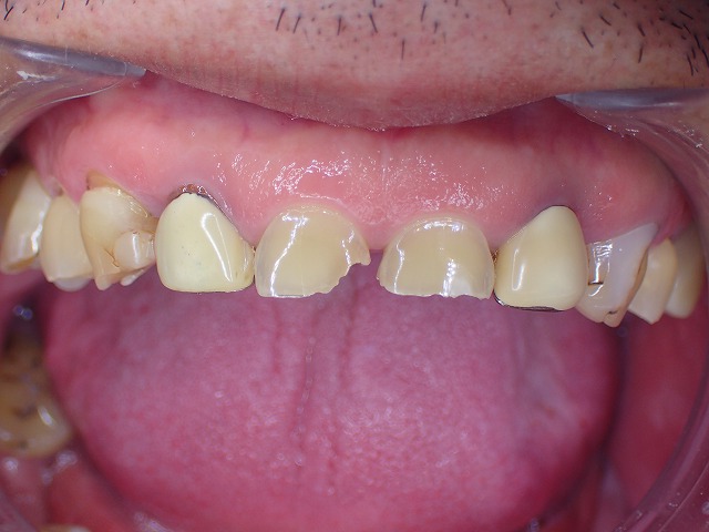
歯ぎしりが強く、前歯が極度にすり減ってしまった患者さんのケースです。
前歯はすでに割れ始めており、この状態でレジン充填を行うと、先端からさらに崩壊が進む可能性が高いと考えられます。
歯ぎしりによって歯が大きく摩耗すると、上下の歯の位置関係が近くなり、前歯に強い力が集中します。この状態ではレジン充填を繰り返しても脱離や破折を起こしやすく、CAD/CAM冠でも長期的な安定が難しいことがあります。
ジルコニアで前歯を復元する場合でも、そのまま被せるのではなく、奥歯の咬み合わせを整えながら上下の位置関係を離す「咬合挙上」を伴う全体的な再構築が必要になることがあります。
このページでは、歯ぎしりで摩耗した前歯がどのような状態になり、どのような治療の考え方が必要になるのかを解説します。
激しい歯ぎしりで極度に摩耗し、割れ始めた前歯に対して、レジン充填やCAD/CAM冠ではなく、必要に応じて上下奥歯の咬み合わせを復元しながら咬合挙上を行い、ジルコニアで前歯を再建する治療。見た目だけでなく、摩耗で近くなった上下の位置関係を離し、全体の咬合を再構築することを重視する方法が推奨されます。
この症例に関しては上記のような選択をすると
かなりのレベルで修復・復元できる可能性がありますが、
多くの選択肢があるので、ご本人の意思・価値観で決定することが
大切だと考えます。
激しい歯ぎしりによって前歯が極度に摩耗し、割れ始めている症例です。
この状態では治療方法にはいくつかの選択肢があります。
歯ぎしりによって歯が割れています。
歯ぎしりで歯が摩耗すると
先端から崩壊が進行するリスクが
ますます高くなります、

裏側から エナメル質が完全に消失しています。
銀歯の先端も大きく摩耗しています。

割れた歯は、下の歯と咬んではいないのに崩壊寸前 その理由
歯ぎしりは無意識で行う行為ですが
無意識の時には覚醒時とは比較にならないほどの
力が加わり、顎が歪んで通常時に接触してないものでも
顎の骨が歪んで接触するようになります。

歯ぎしりで摩耗した前歯はなぜ崩壊していくのか
Q.この状謡でレジン充填をすると レジン充填を避ける理由
A.先端から崩壊してくる、何度詰めても取れてくる
どんどん歯が小さくなり最終的には治療医困難
となるリスクがある
Q:なぜ前歯にレジン充填をすると、ますます崩壊するのですか?
歯ぎしりで歯が摩耗すると、前歯は先端から崩壊しやすくなります。裏側ではエナメル質が大きく失われていることもあり、その状態で先端だけをレジンで補っても負担に耐えにくく、脱離や再崩壊を繰り返す可能性があります。
Q:CAD/CAM冠で修復できるか?
A:CAD/CAM冠で修復する場合には、破折と脱離のリスクが高いため
長期安定性を考えるとおすすめできません。
可能な場合はあっても、このページのように摩耗や破折リスクが高い症例では、CAD/CAM冠は破折と脱離のリスクが高いためおすすめできないとされています。後々の安定性を考えると慎重な判断が必要です。
Q:ジルコニアで復元する場合には 咬合挙上が必要
A:この場合には、咬み合わせ全体を再構築する必要があります。
上下の奥歯の咬み合わせを復元して、摩耗して近くなった上下の位置関係を
離す必要があります。要するに上下の歯を高くするということです。
激しい摩耗により上下の位置関係が近くなっているため、そのままでは前歯を十分な厚みで復元しにくいからです。上下の奥歯の咬み合わせを復元し、上下の位置関係を離す、つまり咬合挙上を行ってから全体を再構築する考え方が必要になります。”
詳しくは咬合挙上のページを参考にして下さい。
Q:このまま放置するとどうなるか?
A:摩耗は進行してきわめて歯が小さくなると予想できます。
本文では、摩耗がさらに進行し、歯がきわめて小さくなると予想されています。前歯の崩壊が進むほど治療は難しくなるため、早めに状態を確認することが大切です。
詳しくは歯ぎしりページをご参考に
Q:おすすめの処置は
A:このままで様子を見るか、咬合挙上で復元するかの二択。
咬合挙上は、ジルコニア治療で可能ですが、健康保険の
CAD/CAM冠などは適応外です。また当初に違和感があるので
細かいことを気にする神経質な方には向いていないかもしれません。
このページでは、このままで様子を見るか、咬合挙上を伴ってジルコニアで復元するかの二択として説明されています。症例によっては、全体の咬み合わせを含めた再構築が必要です。
強度に劣る方法で修復すると、崩壊のリスクが高く、ますます状況は悪くなるので
やるか、やらないかの二択になります、
Q:咬合挙上には違和感がありますか?
A:本文では、咬合挙上は当初に違和感があると説明されています。そのため、細かい違和感を強く気にされる方には向かない場合があるとされています。
Q:まずは相談だけでも可能ですか?
A:はい。ページ内でも『とりあえず今の状態を診てほしい』という相談を受け付けている案内があります。前歯の割れ、歯ぎしり、咬み合わせの問題を含めて相談することができます。
ご相談だけでも構いませんので、アポイントはこちら
「とりあえず今の状態を診てほしい」というご相談も承っております。
お口全体の健康と美しさを、ハイレベルな技術でトータルコーディネートします。
治療の途中放置や、お口全体の悩み。まずは相談であなたの「これから」のストーリーを一緒に考えましょう。
ジルコニアを検討中の方は
ジルコニア治療を検討中の方へ|鶴見・北村歯科の総まとめガイド | 横浜市鶴見区の北村歯科
前歯をキレイにしたい・歯並びを整えたい方へ|できること・できないこと総まとめ
審美歯科・ジルコニア治療の総まとめガイド|鶴見 北村歯科 | 横浜市鶴見区の北村歯科
審美歯科を検討中の方へ FAQ 50問|鶴見 北村歯科 | 横浜市鶴見区の北村歯科
ジルコニア・セラミック治療 FAQ 50問 北村歯科 / 鶴見 | 横浜市鶴見区の北村歯科
自由診療の保証規定 自由診療は規定に基づき5年間の保証を設定
きれいにしたい 転院など お困りごとのある方
お困りごと解決ガイド|歯の悩み・トラブル別対応一覧|鶴見駅すぐのの歯医者|
仮歯・転院・途中放置でお困りの方へ|鶴見 北村歯科の総まとめ解説
北村歯科/鶴見 自由診療のジルコニア関係 費用は安価です
自由診療費用 税別
●ジルコニアクラウン前歯 38,000円x本数
●ジルコニアクラウン奥歯 32,000円×本数
その他 この2項目だけ必要なことがあります。
●自由診療除去費用 5,000円×本数
●ファイバーコア 10,000円×本数
受診前に大まかな相談をしたい場合は、
ご利用いただくこともできます。
丁寧な検査、歯周基本治療、必要に応じた外科処置、
定期メンテナンスまで一貫して行い、できる限り歯を残す方針です。
北村歯科
この記事の執筆・監修: 北村秀紀(歯科医師/横浜市鶴見区 北村歯科)
前へ:« 前歯のレジン着色・劣化が気になる方へ|奥歯の咬み合わせを整えてジルコニアで修復|鶴見駅の歯医者 北村歯科
次へ:差し歯が折れた ボロボロ虫歯で根管治療 鶴見駅の歯医者|北村歯科 »





