【2025年9月12日 4:26 PM更新】
概要
治療途中での転院です。都内でかなり高価な見積もりだったのと
予約が取りにくい ということで転院とのことです。
治療途中で転院する場合は、見た目を整える前に、
今の歯がどの状態にあるかを正確に把握することが大切です。
このページでは、スクリューピンが入った歯や根管治療途中の歯、歯冠破折した歯を、
リスク説明のうえでジルコニア修復へ進めた経過を紹介しています。
「できるだけ歯を残したい」という希望があるときほど、
治療の限界とリスクを共有しながら進めることが重要です。
このページでお伝えしたい結論
治療途中で転院した歯は、すぐにきれいに被せればよいわけではなく、
まず保存可能性と治療後のリスクを丁寧に見極める必要があります。
スクリューピンが入った歯や根管治療途中の歯、歯冠破折した歯でも、
状態によっては保存してジルコニア修復へ進めることがありますが、
その判断には慎重な説明と同意が欠かせません。
大切なのは、抜歯か保存かを急いで決めることではなく、
歯を残せる可能性とその後のリスクを理解したうえで治療方針を選ぶことです。
治療途中での転院です。理由は治療費用の問題です。都内で1本18万円は相場です。
治療途中の転院は、責任問題などのリスクを承諾の上で処置開始
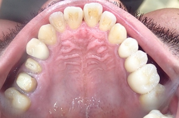
すべて、やりっぱ で来院
左上 一本スクリューピン 2本根管処置中
今回はスクリューピンの歯を信用して
ジルコニアを制作しますが
除去をしたりしていると、歯を損傷するリスクがあるので
そのまま制作します。
すべての治療にはリスクを伴いますが
そのリスクを承知いただいたうえで
治療するのが大原則です。
左側、一本はスクリューピンが入っており、2本は根管治療の途中です。
2本は

2本は根管治療の途中です。

右上 歯冠破折 金属も白い歯に交換ご希望です。
歯根が折れている歯は、保存不可能ではありませんが
その後の経過にリスクがあります。

最初は上顎左側のジルコニアクラウン製作
すでにファイバーコアの装着が終わっています。


左上 ジルコニアクラウン装着
ご本人には喜んでいただきました。

次は 反対側
本来なら抜去するのが一般的治療法の歯ですが
根管治療と土台作りして保存処理します。
治療後のリスクはありますが
保存をご希望なさる方は、
なるべく保存してかぶせものを作り
保存しています。

根管内部がキレイになったのち
この後増殖した歯肉を整形します。

土台 コアの形どり 可能な限り歯を生かす
ダメ元で土台を作るので、症例的なリスクは
ご本人が了承しての処置です。

続く
ファイバーコアと金属の除去 治療のリスク 予後に関して
歯根が破折しているので、
一般的な歯科医院では、抜去すると思います。
歯肉を整形して根管治療しましたが
歯根が折れているのでファイバーコアを制作しても
制作後に下記のような問題が通常よりハイリスクとなります。
●ジルコニアクラウンがコアごと脱離するリスク
●破折した部分の歯肉から炎症を起こす
●トラブル時には抜去の可能性がある。
その際にはブリッジやインプラントを考えなくてはならない
ジルコニアを制作する前に
上記のようなリスクがあるので、
それを理解の上での意思決定により
制作開始となります。


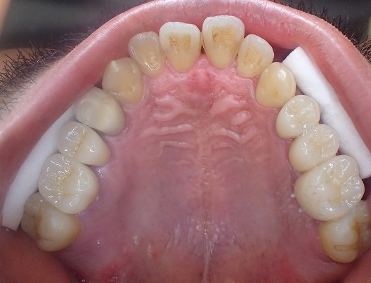
左右5本をジルコニアクラウンにすることができました。

上顎の歯がすべて揃いました。
ご本人は転院前の1本の費用で
5本入ったとお喜びになりましたが
今後の経過が大切です。

もっとも大切な処置 奥歯を作ってから前歯を制作する
この後どうするか?
最重要科目は 下顎左側の臼歯欠損です。
奥歯も上下どちらかが欠損していれば
機能しませんし、咬み合わせによる圧力にも
耐えられない時期が来ます。
もしも予算があれば、
今の時代はインプラントが最も良いと
思われます。
来院時には必ず歯肉深くの歯石を除去していますが
もう少し歯磨きを頑張ってください。

この症例では自由診負担は
●修復物の除去費用 1本
●ファイバーコア 1本
●ジルコニアクラウン奥歯 5本
のご負担です。
おおよその目安として都内価格の1/5程度の
ご負担です。
ご相談だけでも構いませんので、アポイントはこちら
「とりあえず今の状態を診てほしい」というご相談も承っております。
お口全体の健康と美しさを、ハイレベルな技術でトータルコーディネートします。
治療の途中放置や、お口全体の悩み。まずは相談であなたの「これから」のストーリーを一緒に考えましょう。
ジルコニアを検討中の方は
ジルコニア治療を検討中の方へ|鶴見・北村歯科の総まとめガイド
前歯をキレイにしたい・歯並びを整えたい方へ|できること・できないこと総まとめ
お困りごと解決ガイド|歯の悩み・トラブル別対応一覧|鶴見駅すぐのの歯医者|
仮歯・転院・途中放置でお困りの方へ|鶴見 北村歯科の総まとめ解説
自由診療の保証規定 自由診療は規定に基づき5年間の保証を設定
北村歯科/鶴見 自由診療のジルコニア関係 費用は安価です
自由診療費用 税別
●ジルコニアクラウン前歯 38,000円x本数
●ジルコニアクラウン奥歯 32,000円×本数
その他 この2項目だけ必要なことがあります。
●自由診療除去費用 5,000円×本数
●ファイバーコア 10,000円×本数
受診前に大まかな相談をしたい場合は、
ご利用いただくこともできます。
丁寧な検査、歯周基本治療、必要に応じた外科処置、
定期メンテナンスまで一貫して行い、できる限り歯を残す方針です。
北村歯科
この記事の執筆・監修: 北村秀紀(歯科医師/横浜市鶴見区 北村歯科)
前へ:« メタルボンドからジルコニアボンドに 金属が溶出して歯肉に 鶴見駅の歯医者|北村歯科
次へ:転院専門の歯科医院になったのか? 最近は転院ばかりで、状態を把握するのが難題 鶴見駅の歯医者|北村歯科 »





