【2025年12月10日 12:43 PM更新】
概要
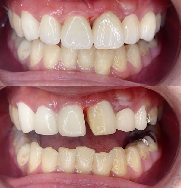
どう見ても形態があまり良くない形態の
ブリッジのやり直しです。
当方の視点でこのような設計は信じられませんし
他人から見てあまり良い印象はないように思われます。
ジルコニアブリッジを除去して
キレイな歯に作り直しました。

前歯ブリッジの設計はキレイに 当たり前のこと
大金を投資して、これでは・・と思います。
見た目もよくないし、
大金を使ってお気の毒だと思います。

当方ではお勧めしないインレーブリッジ それもジルコニアで
片側の犬歯が欠損していること
インレーブリッジなので破損しています。
当方ではインレーブリッジはやらないほいうが良い
という症例を多くご紹介しています。
●ジルコニアのインレーは当院ではお勧めしていません。
●インレーブリッジは当院ではお勧めしていません。
その両方の組み合わせは、絶対にやらないほいうがいいい
とアドバイスしています。

ジルコニアインレーブリッジ除去開始

下顎前歯の配列に乱れがありますが
上の前歯の内側で対応すれば
はキレイに並べることが可能です。

技工物完成
キレイに配列できました。
犬歯が欠損していますが
すべての前歯があるように見えるように
工夫してあします。
前歯が欠損しても
他人目線では奥歯を前歯に見える
工夫があります。

前歯が欠損しているので
歯列はやや左寄りになります。

ジルコニアブリッジ ジルコニアクラン装着
誰が見ても歯が欠損しているとは思えないでしょう。

歯の前後位置 角度など
安静時に自然に見える形態になっています。
こういった場面は、
ご本人がまったく気が付かない
見る機会もない、他人からの目線ですが
これが審美歯科的には大切な項目だと考えます。
前歯の犬歯が欠損しているので
やや左よりですが、
顔面バランスもよくまとまっています。

ジルコニア 審美歯科 転院を検討中の方への説明リンク
北村歯科/鶴見 自由診療のジルコニア関係 費用は安価です
この症例では自由診負担は
●前歯6本をジルコニアクラウン 前歯6本
のご負担です。
自由診療費用 税別
●ジルコニアクラウン前歯 38,000円x本数
●ジルコニアクラウン奥歯 32,000円×本数
その他 この2項目だけ必要なことがあります。
●自由診療除去費用 5,000円×本数
●ファイバーコア 10,000円×本数
ジルコニア治療を検討中の方へ|鶴見・北村歯科の総まとめガイド
前歯をキレイにしたい・歯並びを整えたい方へ|できること・できないこと総まとめ
北村 秀紀が開発した、クリスタルブライトニング
北村 秀紀主宰しているクリスタルブライトニングセミナー
ホワイトニングセミナー|【公式HP】クリスタルブライトニング(最新ホワイトニング・歯科・歯医者・デンタルクリニック)
前へ:« 2025年のまとめ 北村歯科・鶴見の考え方 いろいろな対応のため
次へ:目的別に治療方法を探す 北村歯科 鶴見駅の歯医者 »





