自由診療安価プロモーションにおける
ジルコニア進化の歴史
横浜市鶴見区 鶴見駅の歯科 歯医者 北村歯科
 

2013年 年末より開始した
自由診療安価プロモーションにおける

ジルコニアのバージョンアップ
テクニカル的な進化をまとめました。



 

2013〜2014年
初期のジルコニアクラウン
パールクラウンとも呼ばれた
真珠に似た、独特の光沢があります。

ZENOスタージルコニアです。

 
上顎
zenoジルコニアクラウン パール仕上げ 上顎
 
下顎
zenoジルコニアクラウン パール仕上げ 下顎


上下合わせて
色の違いは、メーカーの作った材料の違いです。
zenoジルコニアクラウン パール仕上げ 上下比較
 

2014年

今でも、一般的に普及しているジルコニアです。
別名ホワイトクラウン。

2014年頃から、北村歯科ではこのホワイトクラウンを
自然に見えるように、ざまざまな工夫をしていました。

一般歯科医院では、今もこれがスタンダードな様です。

材料メーカーは
「セルコンZ冠」です。


セルコンZ冠 ホワイト
 
テクニシャンの工夫により
塗色と彫刻を行って
自然観を出す努力をしてきました。
セルコンZ冠 ステイン仕上げ
 
2014年

セルコンZ冠

HTLホワイトそのまま仕上げと
初期の塗色、彫刻仕上げの比較
 セルコンZ冠 比較
 


2015年

ZENOSTARジルコニアシステムに使われている
WIELAND(ヨーロッパの複合体)

で制作されたジルコニアを
カラーガイドを参考に白い方から4種類と

ライト をパール仕上げではなく
グラデーション仕上げにしました。

この頃よりパール仕上げより
グレーズ仕上げが主流となります。

現在でも、多くの歯科医院で使われる材料です。


ZENOSTER パール仕上げサンプル

WIELANDのカラーガイド 
ZENOジルコニア カラーガイド 

厚差によって色合いが異なりますが
左から、右に向かって濃い色になります。
ZENOジルコニア カラーガイドと比較 
 



ライト色の
グレーズ グラデーション仕上げ

グラデーションは綺麗に付与されています。

この頃より試行錯誤で
グレデーション付与の手作業を開始しましたが
単独で天然の歯の間に装着すると
違和感がありました。
ZENOジルコニア 前歯 


グラデーションは綺麗に出ています。

また口蓋面は彫刻と
マイクロカラーリング施されています。
ZENOジルコニア 口蓋側



WIELANDの SUN という当時は需要の多かった
材料で製作した、ブリッジ パール仕上げです。
少し赤みがありますが、

当時はこれが一番天然歯に近い色でした。 
 ZENOジルコニア SUN色
 

2015年

この頃から,透明度のある材料が
内外から発売になって来ました。

これはHTLライトとHTLホワイトです。
(スイス製)


HTLミディアム HTLホワイト 比較

裏側から見ると
色合いの深い方は
白い材料HTLホワイト」に
塗色を「してあるのがよく分かります。
HTLミディアム HTLホワイト 染色比較
 

同じスイスのメーカの

HTLライト と HTLミディアムです

ジルコニアは単独で,見ると色が濃く見えますが

実際のお口の中では
天然の歯に近い場合が多々あります。

もちろん手作業で仕上げたら
エクセレント仕上げです。

左右のブリッジは
「ミラーリング」と呼ばれる
プログラムで
左右対称に制作されています。


HTLミディアム HTLライト ブリッジ比較 
 
 

2016年

2015年末に
我が国の精密機械のメーカから
極めて透明度の高いジルコニアが発売されました。

このメーカーは光りファイバーの
石英ファイバーでは95%以上のシェアを持つ会社で
人工宝石では世界一と言われています。

ウルトラハイトランスジルコニア

色の違いはテクニシャンによる
制作過程で5段階の塗色をしているからです。


 ウルトラハイトランスジルコニア
 
ジルコニアは、ほとんどが奥歯に使われていましたが
この製品が出たことにより

テクニシャンが制作過程で
天然の歯に近い塗色をする事で
前歯にも応用出来る様になりました。
 ウルトラハイトランスジルコニア 上顎
 
少し汚れていますが、
制作過程で、グラデーション
先端から歯茎にかけて色が
濃くなるように手作業で塗色してあります。

極めて美しく仕上げっています。
 ウルトラハイトランスジルコニア 口蓋側


奥歯に関しては

より美しく溝を彫刻仕上げ。

また溝の中にも
天然の歯と同じような

マイクロペインティングが施されています。

これが現在の北村歯科での
標準 ジルコニアウラウンの奥歯です。
 ウルトラハイトランスジルコニア 大臼歯
 
 

2016年春

各メーカから
あらかじめ材料にグラデーションを施した
マルチレイヤージルコニアが発売になりました。

メーカーでは
「かなりキレイ」といっていますが
テクニシャンが努力して
この材料にも
5段階の色決めをしました。

箱の番号は、
塗色の段階です。


 マルチレイヤージルコニア 0と1
 マルチレイヤージルコニア 2番と3番
 
すべて、同じ材料に
グラーデーションを付けてあります。

メーカーの作ったどんがらではありません。

手間と0を暇かけないと
良いモノは仕上がりません。
 マルチレイヤージルコニア 14mm
 
同じ材料でもう少し
ボリュームを出しました。
 マルチレイヤージルコニア 18mm

 
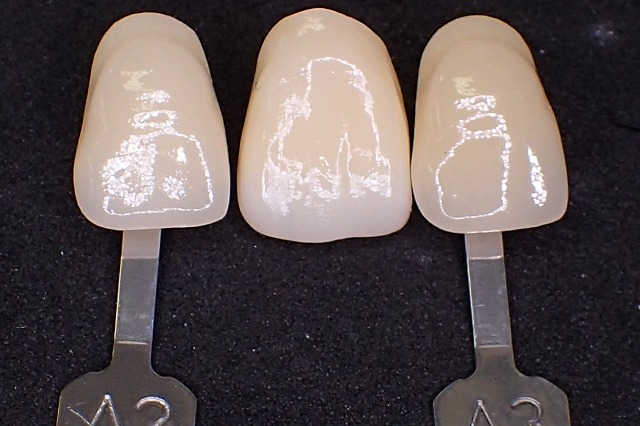
マルチレイヤー A2-2

これはVITAで、A3意味します。
 マルチレイヤージルコニア A2-2番
 マルチレイヤージルコニア A2-2番 口蓋側
 
ほとんどA3
 マルチレイヤージルコニア A2-2番 シェードガイドとの比較
 




鶴見区の歯医者 北村歯科 TOPページ
 
鶴見駅 北村歯科 詳細INDEX
 
セラミックが安い鶴見の歯医者
JR鶴見駅東口ロータリ内
京急鶴見駅30秒

230-0050 横浜市鶴見区鶴見中央1−31 
シークレイン2F

TEL 045−504−6600